• Tel: 858.663.9055
  • SeparatorEmail: info@nsjbio.com
  • Tel: 858.663.9055
  • Email: info@nsjbio.com
Home >> Antibodies >> Involucrin Antibody

Involucrin Antibody [clone SY-5] (R30046)

  Catalog No Formulation Size Price (USD)  
Image R30046 0.5mg/ml with 1% BSA and 0.01% sodium azide if reconstituted with 0.2ml sterile 1XPBS 100 ug 439
Bulk quote request
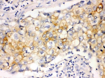
IHC staining of FFPE human lung cancer tissue with Involucrin antibody. HIER: boil tissue sections in pH8 EDTA for 20 min and allow to cool before testing.
Western blot testing of human 1) RT-4, 2) T-47D and 3) A431 cell lysate with Involucrin antibody. Predicted molecular weight ~68 kDa but can be observed at up to ~140 kDa.
Availability 1-3 business days
Species Reactivity Human
Format Ascites
Clonality Monoclonal (mouse origin)
Isotype Mouse IgG1
Clone Name SY-5
Purity Ascites
Gene ID 3713
Applications Western Blot : 1-2ug/ml
Immunohistochemistry (FFPE) : 0.5-1ug/ml
Immunohistochemistry (Frozen) : 0.5-1ug/ml (formalin or acetone fixed tissues)
Immunocytochemistry : Suitable
Limitations This Involucrin antibody is available for research use only.
Review this product on BioCompare and get a $20 Amazon gift card

Related Products

Description

Involucrin is a keratinocyte protein that first appears in the cell cytosol, but ultimately becomes cross-linked to membrane proteins by transglutaminase. The gene consists of 585 amino acids, 390 of which form a central decapeptide repeat, rich in glutamine and glutamic acid. The involucrin gene, encoding a protein of the terminally differentiated keratinocyte, is polymorphic in the human. Involucrin has previously been mapped to chromosome 1q21. The epidermal protein involucrin has been remodeled in the higher primates. And the existence of two populations of East Asian involucrin alleles gives support for the existence of a Eurasian stem lineage from which Caucasians and a part of the Asian population originated.

Application Notes

The stated application concentrations are suggested starting amounts. Titration of the Involucrin antibody may be required due to differences in protocols and secondary/substrate sensitivity.

Immunogen

Human involucrin was used as the immunogen for this Involucrin antibody.

Storage

After reconstitution, the Involucrin antibody can be stored for up to one month at 4oC. For long-term, aliquot and store at -20oC. Avoid repeated freezing and thawing.

Cross
Bulk Quote Request Form
Name*:
Organization*:
Email*:
Phone Number*:
Catalog No.*:
Comments and Specifics(amount, formulation, etc.)*:
Validation code: Captchapackage Image


Can't read the image? click here to refresh.
    *required field

Your bulk quote request has been submitted successfully!

Please contact us if you have any questions.