• Tel: 858.663.9055
  • SeparatorEmail: info@nsjbio.com
  • Tel: 858.663.9055
  • Email: info@nsjbio.com
Home >> Antibodies >> Interleukin 15 Antibody / IL15

Interleukin 15 Antibody / IL15 (RQ6189)

  Catalog No Formulation Size Price (USD)  
Image RQ6189 0.5mg/ml if reconstituted with 0.2ml sterile DI water 100 ug 439
Bulk quote request
Flow cytometry testing of human PBM cells with Interleukin 15 antibody at 1ug/million cells (blocked with goat sera); Red=cells alone, Green=isotype control, Blue= Interleukin 15 antibody.
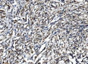
IHC staining of FFPE human B-lymphocyte tumor with Interleukin 15 antibody. HIER: boil tissue sections in pH8 EDTA for 20 min and allow to cool before testing.
IHC staining of FFPE rat spleen with Interleukin 15 antibody. HIER: boil tissue sections in pH8 EDTA for 20 min and allow to cool before testing.
Availability 1-3 business days
Species Reactivity Human, Rat
Format Antigen affinity purified
Clonality Polyclonal (rabbit origin)
Isotype Rabbit IgG
Purity Affinity purified
Buffer Lyophilized from 1X PBS with 2% Trehalose and 0.0125% sodium azide
UniProt P40933
Applications Immunohistochemistry (FFPE) : 2-5ug/ml
Flow Cytometry : 1-3ug/million cells
Direct ELISA : 0.1-0.5ug/ml
Limitations This Interleukin 15 antibody is available for research use only.
Review this product on BioCompare and get a $20 Amazon gift card

Related Products

Description

Interleukin (IL)-15 is a cytokine with the ability to stimulate the proliferation activity of Th1 and/or Th2 lymphocytes. This gene is mapped to human chromosome 4q31 by fluorescence in situ hybridization. IL-15 is a novel cytokine whose effects on T-cell activation and proliferation are similar to those of interleukin-2 (IL-2), presumably because IL-15 utilizes the beta and gamma chains of the IL-2 receptor. IL-15 can play a role in the initiation and outcome of acute and chronic rejection. Anti-IL-15 therapy in combination with classic immunosuppression therapy might be beneficial in the prevention of acute, and especially chronic, allograft rejection.

Application Notes

Optimal dilution of the Interleukin 15 antibody should be determined by the researcher.

Immunogen

A human recombinant partial protein (amino acids D70-S162) was used as the immunogen for the Interleukin 15 antibody.

Storage

After reconstitution, the Interleukin 15 antibody can be stored for up to one month at 4oC. For long-term, aliquot and store at -20oC. Avoid repeated freezing and thawing.

Cross
Bulk Quote Request Form
Name*:
Organization*:
Email*:
Phone Number*:
Catalog No.*:
Comments and Specifics(amount, formulation, etc.)*:
Validation code: Captchapackage Image


Can't read the image? click here to refresh.
    *required field

Your bulk quote request has been submitted successfully!

Please contact us if you have any questions.