• Tel: 858.663.9055
  • SeparatorEmail: info@nsjbio.com
  • Tel: 858.663.9055
  • Email: info@nsjbio.com
Home >> Antibodies >> Interleukin-15 Antibody / IL15

Interleukin-15 Antibody / IL15 [clone rIL15/8049] (V5066)

  Catalog No Formulation Size Price (USD)  
Image V5066-100UG 0.2 mg/ml in 1X PBS with 0.1 mg/ml BSA (US sourced), 0.05% sodium azide 100 ug 539
Image
V5066-20UG 0.2 mg/ml in 1X PBS with 0.1 mg/ml BSA (US sourced), 0.05% sodium azide 20 ug 249
Image
V5066SAF-100UG 1 mg/ml in 1X PBS; BSA free, sodium azide free 100 ug 539
Microvalidated Recmousemono
Bulk quote request
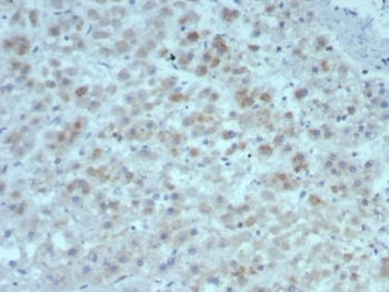
IHC staining of FFPE human adrenal gland tissue with Interleukin-15 antibody (clone rIL15/8049). HIER: boil tissue sections in pH 9 10mM Tris with 1mM EDTA for 20 min and allow to cool before testing.
Availability 1-3 business days
Species Reactivity Human
Format Purified
Clonality Recombinant Mouse Monoclonal
Isotype Mouse IgG1, kappa
Clone Name rIL15/8049
Purity Protein A/G affinity
UniProt P40933
Localization Secreted, Cytoplasm, Nucleus
Applications Immunohistochemistry (FFPE) : 1-2ug/ml for 30 min at RT
Limitations This Interleukin-15 antibody is available for research use only.
Review this product on BioCompare and get a $20 Amazon gift card

Related Products

Description

Interleukin-15 (IL-15), also designated IL-T, is a cloned cytokine which shares several biological activities but no sequence homology with IL-2. Human, mouse and simian IL-15 cDNA clones have been isolated and characterized. All 3 species encode a 162 amino acid residue precursor protein containing a 48 amino acid leader that is cleaved to generate the mature form of IL-15. IL-15 stimulates the proliferation of T cells and NK cells, while enhancing B cell expansion and antibody production. Unlike IL-2, IL-15 is not produced by lymphocytes, but appears to be produced by macrophages, epithelial lines, muscle and placenta. IL-15 has also been shown to be a chemoattractant for human blood T lymphocytes and to be able to induce lymphokine-activated killer (LAK) activity in NK cells as well as to be able to induce the generation of cytolytic effector cells. Studies have shown that IL-15 is the only other cytokine that shares the beta signaling subunit of the IL-2R. Evidence also suggests that like IL-2, IL-4 and IL-7, IL-15 utilizes the common IL-2Rgamma subunit.

Application Notes

Optimal dilution of the Interleukin-15 antibody should be determined by the researcher.

Immunogen

A recombinant partial protein sequence (within amino acids 1-152) from the human protein was used as the immunogen for the Interleukin-15 antibody.

Storage

Aliquot the Interleukin-15 antibody and store frozen at -20oC or colder. Avoid repeated freeze-thaw cycles.

Cross
Bulk Quote Request Form
Name*:
Organization*:
Email*:
Phone Number*:
Catalog No.*:
Comments and Specifics(amount, formulation, etc.)*:
Validation code: Captchapackage Image


Can't read the image? click here to refresh.
    *required field

Your bulk quote request has been submitted successfully!

Please contact us if you have any questions.