• Tel: 858.663.9055
  • SeparatorEmail: info@nsjbio.com
  • Tel: 858.663.9055
  • Email: info@nsjbio.com
Home >> Antibodies >> Interleukin 15 Antibody / IL15

Interleukin 15 Antibody / IL15 [clone IL15/4353] (V9654)

  Catalog No Formulation Size Price (USD)  
Image V9654-100UG 0.2 mg/ml in 1X PBS with 0.1 mg/ml BSA (US sourced), 0.05% sodium azide 100 ug 539
Image
V9654-20UG 0.2 mg/ml in 1X PBS with 0.1 mg/ml BSA (US sourced), 0.05% sodium azide 20 ug 249
Image
V9654SAF-100UG 1 mg/ml in 1X PBS; BSA free, sodium azide free 100 ug 539
Microvalidated
Bulk quote request
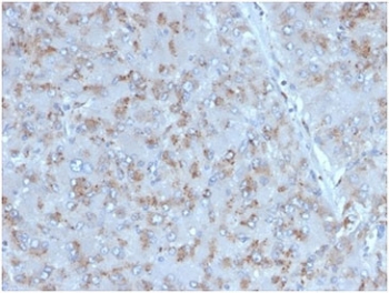
IHC staining of FFPE human adrenal gland tissue with Interleukin 15 antibody (clone IL15/4353). HIER: boil tissue sections in pH 9 10mM Tris with 1mM EDTA for 20 min and allow to cool before testing.
SDS-PAGE analysis of purified, BSA-free Interleukin 15 antibody (clone IL15/4353) as confirmation of integrity and purity.
Analysis of HuProt(TM) microarray containing more than 19,000 full-length human proteins using Interleukin 15 antibody (clone IL15/4353). These results demonstrate the foremost specificity of the IL15/4353 mAb. Z- and S- score: The Z-score represents the strength of a signal that an antibody (in combination with a fluorescently-tagged anti-IgG secondary Ab) produces when binding to a particular protein on the HuProt(TM) array. Z-scores are described in units of standard deviations (SD's) above the mean value of all signals generated on that array. If the targets on the HuProt(TM) are arranged in descending order of the Z-score, the S-score is the difference (also in units of SD's) between the Z-scores. The S-score therefore represents the relative target specificity of an Ab to its intended target.
Availability 1-3 business days
Species Reactivity Human
Format Purified
Clonality Monoclonal (mouse origin)
Isotype Mouse IgG1, kappa
Clone Name IL15/4353
Purity Protein A/G affinity
UniProt P40933
Localization Secreted, Cytoplasm, Nuclear
Applications Immunohistochemistry (FFPE) : 1-2ug/ml
Limitations This Interleukin 15 antibody is available for research use only.
Review this product on BioCompare and get a $20 Amazon gift card

Related Products

Description

Interleukin-15 (IL-15), also designated IL-T, is a cloned cytokine which shares several biological activities but no sequence homology with IL-2. Human, mouse and simian IL-15 cDNA clones have been isolated and characterized. All 3 species encode a 162 amino acid residue precursor protein containing a 48 amino acid leader that is cleaved to generate the mature form of IL-15. IL-15 stimulates the proliferation of T cells and NK cells, while enhancing B cell expansion and antibody production. Unlike IL-2, IL-15 is not produced by lymphocytes, but appears to be produced by macrophages, epithelial lines, muscle and placenta. IL-15 has also been shown to be a chemoattractant for human blood T lymphocytes and to be able to induce lymphokine-activated killer (LAK) activity in NK cells as well as to be able to induce the generation of cytolytic effector cells. Studies have shown that IL-15 is the only other cytokine that shares the subunit.

Application Notes

Optimal dilution of the Interleukin 15 antibody should be determined by the researcher.

Immunogen

A recombinant protein fragment was used as the immunogen for the Interleukin 15 antibody.

Storage

Aliquot the Interleukin 15 antibody and store frozen at -20oC or colder. Avoid repeated freeze-thaw cycles.

Cross
Bulk Quote Request Form
Name*:
Organization*:
Email*:
Phone Number*:
Catalog No.*:
Comments and Specifics(amount, formulation, etc.)*:
Validation code: Captchapackage Image


Can't read the image? click here to refresh.
    *required field

Your bulk quote request has been submitted successfully!

Please contact us if you have any questions.