• Tel: 858.663.9055
  • SeparatorEmail: info@nsjbio.com
  • Tel: 858.663.9055
  • Email: info@nsjbio.com
Home >> Antibodies >> Interferon regulatory factor 3 Antibody / IRF3

Interferon regulatory factor 3 Antibody / IRF3 (RQ6384)

  Catalog No Formulation Size Price (USD)  
Image RQ6384 0.5mg/ml if reconstituted with 0.2ml sterile DI water 100 ug 439
Bulk quote request
Immunofluorescent staining of FFPE human A431 cells with Interferon regulatory factor 3 antibody (red) and DAPI nuclear stain (blue). HIER: steam section in pH6 citrate buffer for 20 min.
Western blot testing of human 1) HeLa, 2) Raji, 3) HepG2 and 4) mouse lung lysate with Interferon regulatory factor 3 antibody. Predicted molecular weight ~47 kDa.
Flow cytometry testing of human K562 cells with Interferon regulatory factor 3 antibody at 1ug/million cells (blocked with goat sera); Red=cells alone, Green=isotype control, Blue= Interferon regulatory factor 3 antibody.
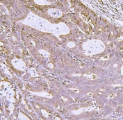
IHC staining of FFPE human rectal cancer tissue with Interferon regulatory factor 3 antibody. HIER: boil tissue sections in pH8 EDTA for 20 min and allow to cool before testing.
Availability 1-3 business days
Species Reactivity Human, Mouse
Format Purified
Clonality Polyclonal (rabbit origin)
Isotype Rabbit IgG
Purity Antigen affinity purified
Buffer Lyophilized from 1X PBS with 2% Trehalose
UniProt Q14653
Localization Cytoplasmic, nuclear
Applications Western Blot : 0.5-1ug/ml
Immunohistochemistry (FFPE) : 2-5ug/ml
Immunofluorescence (FFPE) : 5ug/ml
Flow Cytometry : 1-3ug/million cells
Direct ELISA : 0.1-0.5ug/ml
Limitations This Interferon regulatory factor 3 antibody is available for research use only.
Review this product on BioCompare and get a $20 Amazon gift card

Related Products

Description

IRF3 (interferon regulatory factor 3) is a member of the interferon regulatory transcription factor (IRF) family. The IRF3 gene is mapped on 19q13.33. IRF3 is found in an inactive cytoplasmic form that upon serine/threonine phosphorylation forms a complex with CREBBP. IRF3 plays an important role in the innate immune system's response to viral infection. Aggregated MAVS have been found to activate IRF3 dimerization. AlthoughIRF3increased transcriptional activity from an ISRE-containing promoter, expression ofIRF3as a Gal4 fusion protein did not activate expression of a chloramphenicol acetyltransferase(CAT) reporter gene containing repeats of the Gal4-binding sites. Translocation ofIRF3was accompanied by an increase in serine and threonine phosphorylation. The transcriptional activators CREBBP and EP300 coimmunoprecipitated withIRF3only subsequent to viral infection, and the authors stated that these are also subunits of DRAF1.

Application Notes

Optimal dilution of the Interferon regulatory factor 3 antibody should be determined by the researcher.

Immunogen

Recombinant human protein (amino acids M1-S427) was used at the immunogen for the Interferon regulatory factor 3 antibody.

Storage

After reconstitution, the Interferon regulatory factor 3 antibody can be stored for up to one month at 4oC. For long-term, aliquot and store at -20oC. Avoid repeated freezing and thawing.

Cross
Bulk Quote Request Form
Name*:
Organization*:
Email*:
Phone Number*:
Catalog No.*:
Comments and Specifics(amount, formulation, etc.)*:
Validation code: Captchapackage Image


Can't read the image? click here to refresh.
    *required field

Your bulk quote request has been submitted successfully!

Please contact us if you have any questions.