• Tel: 858.663.9055
  • SeparatorEmail: info@nsjbio.com
  • Tel: 858.663.9055
  • Email: info@nsjbio.com
Home >> Antibodies >> Intelectin 1 Antibody / ITLN1

Intelectin 1 Antibody / ITLN1 [clone ITLN1/4065] (V8686)

  Catalog No Formulation Size Price (USD)  
Image V8686-100UG 0.2 mg/ml in 1X PBS with 0.1 mg/ml BSA (US sourced) and 0.05% sodium azide 100 ug 539
Image
V8686-20UG 0.2 mg/ml in 1X PBS with 0.1 mg/ml BSA (US sourced) and 0.05% sodium azide 20 ug 249
Image
V8686SAF-100UG 1 mg/ml in 1X PBS; BSA free, sodium azide free 100 ug 539
Microvalidated
Bulk quote request
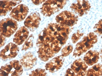
IHC staining of FFPE human colon with Intelectin 1 antibody (clone ITLN1/4065). HIER: boil tissue sections in pH 9 10mM Tris with 1mM EDTA for 20 min and allow to cool before testing.
Analysis of HuProt(TM) microarray containing more than 19,000 full-length human proteins using Intelectin 1 antibody. These results demonstrate the foremost specificity of the ITLN1/4065 mAb. Z- and S- score: The Z-score represents the strength of a signal that an antibody (in combination with a fluorescently-tagged anti-IgG secondary Ab) produces when binding to a particular protein on the HuProt(TM) array. Z-scores are described in units of standard deviations (SD's) above the mean value of all signals generated on that array. If the targets on the HuProt(TM) are arranged in descending order of the Z-score, the S-score is the difference (also in units of SD's) between the Z-scores. The S-score therefore represents the relative target specificity of an Ab to its intended target.
SDS-PAGE analysis of purified, BSA-free Intelectin 1 antibody (clone ITLN1/4065) as confirmation of integrity and purity.
Availability 1-3 business days
Species Reactivity Human
Format Purified
Clonality Monoclonal (mouse origin)
Isotype Mouse IgG2c, kappa
Clone Name ITLN1/4065
Purity Protein G affinity chromatography
UniProt Q8WWA0
Localization Cytoplasm, cell membrane, secreted
Applications Immunohistochemistry (FFPE) : 1-2ug/ml for 30 minutes at RT
Limitations This Intelectin 1 antibody is available for research use only.
Review this product on BioCompare and get a $20 Amazon gift card

Related Products

Description

Human intelectin-1 (ITLN-1) is a novel identified galactose binding lectin that is usually expressed in the heart, small intestine, and colon. In normal tissues, human intelectin-1 was mainly secreted from gastrointestinal goblet cells along with mucus into the intestinal lumen, and it was also expressed, to a lesser extent, in mesothelial cells and urinary epithelial cells. It is overexpressed in human malignant pleural mesothelioma (MPM). In contrast, sarcomatoid-type MPMs, biphasic MPMs, and poorly differentiated MPMs are rarely positive for intelectin-1, and it is not expressed in other cancers, except in mucus-producing adenocarcinoma.

Application Notes

Optimal dilution of the Intelectin 1 antibody should be determined by the researcher.

Immunogen

A portion of amino acids 16-141 from the human protein was used as the immunogen for the Intelectin 1 antibody.

Storage

Store the Intelectin 1 antibody at 2-8oC (with azide) or aliquot and store at -20oC or colder (without azide).

Cross
Bulk Quote Request Form
Name*:
Organization*:
Email*:
Phone Number*:
Catalog No.*:
Comments and Specifics(amount, formulation, etc.)*:
Validation code: Captchapackage Image


Can't read the image? click here to refresh.
    *required field

Your bulk quote request has been submitted successfully!

Please contact us if you have any questions.