• Tel: 858.663.9055
  • SeparatorEmail: info@nsjbio.com
  • Tel: 858.663.9055
  • Email: info@nsjbio.com
Home >> Antibodies >> Integrin beta 3 Antibody / ITGB3 / CD61

Integrin beta 3 Antibody / ITGB3 / CD61 (R30709)

  Catalog No Formulation Size Price (USD)  
Image R30709 0.5mg/ml if reconstituted with 0.2ml sterile DI water 100 ug 439
Bulk quote request
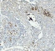
IHC staining of FFPE human thyroid cancer tissue with Integrin beta 3 antibody. HIER: boil tissue sections in pH8 EDTA for 20 min and allow to cool before testing.
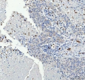
IHC staining of FFPE human laryngeal squamous cell carcinoma tissue with Integrin beta 3 antibody. HIER: boil tissue sections in pH8 EDTA for 20 min and allow to cool before testing.
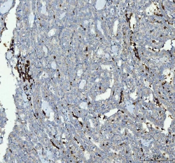
IHC staining of FFPE human liver cancer tissue with Integrin beta 3 antibody. HIER: boil tissue sections in pH8 EDTA for 20 min and allow to cool before testing.
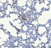
IHC staining of FFPE rat lung tissue with Integrin beta 3 antibody. HIER: boil tissue sections in pH8 EDTA for 20 min and allow to cool before testing.
Western blot testing of 1) human U-87 MG, 2) human HEL, 3) human HeLa, 4) rat spleen and 5) mouse spleen tissue lysate with Integrin beta 3 antibody. Expected molecular weight: 87-110 kDa depending on glycosylation level.
Availability 1-3 business days
Species Reactivity Human, Mouse, Rat
Format Antigen affinity purified
Clonality Polyclonal (rabbit origin)
Isotype Rabbit IgG
Purity Antigen affinity
Buffer Lyophilized from 1X PBS with 2% Trehalose
UniProt P05106
Localization Cell surface, cytoplasmic
Applications Western Blot : 0.5-1ug/ml
Immunohistochemistry (FFPE) : 1-2ug/ml
Limitations This Integrin beta 3 antibody is available for research use only.
Review this product on BioCompare and get a $20 Amazon gift card

Related Products

Description

ITGB3 (Integrin beta 3), also called GP3A, GPIIIa, CD61, is a protein that in humans is encoded by the ITGB3 gene. It is a cluster of differentiation found on thrombocytes. The ITGB3 complex belongs to the integrin class of cell adhesion molecule receptors that share a common heterodimeric structure with alpha and beta subunits. The ITGB3 complex mediates platelet aggregation by acting as a receptor for fibrinogen. Although the protein is expressed on the cell surface at normal levels and is capable of function following extracellular stimulation, it could not be activated via the inside-out signaling pathways.

Application Notes

The stated application concentrations are suggested starting amounts. Titration of the Integrin beta 3 antibody may be required due to differences in protocols and secondary/substrate sensitivity.

Immunogen

An amino acid sequence from the C-terminus of human Integrin beta 3 (EFAKFEEERARAKWDTANN) was used as the immunogen for this Integrin beta 3 antibody (100% homologous in human, mouse and rat).

Storage

After reconstitution, the Integrin beta 3 antibody can be stored for up to one month at 4oC. For long-term, aliquot and store at -20oC. Avoid repeated freezing and thawing.

Cross
Bulk Quote Request Form
Name*:
Organization*:
Email*:
Phone Number*:
Catalog No.*:
Comments and Specifics(amount, formulation, etc.)*:
Validation code: Captchapackage Image


Can't read the image? click here to refresh.
    *required field

Your bulk quote request has been submitted successfully!

Please contact us if you have any questions.