• Tel: 858.663.9055
  • SeparatorEmail: info@nsjbio.com
  • Tel: 858.663.9055
  • Email: info@nsjbio.com
Home >> Antibodies >> Insulin Antibody

Insulin Antibody [clone KC36AC10] (R30045)

  Catalog No Formulation Size Price (USD)  
Image R30045 0.5mg/ml with 1% BSA and 0.01% sodium azide if reconstituted with 0.2ml sterile 1X PBS 100 ug 439
Bulk quote request
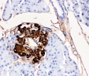
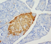
IHC-P testing of rat pancreas tissue with insulin antibody. HIER: Boil the paraffin sections in pH 6, 10mM citrate buffer for 20 minutes and allow to cool prior to testing.
IHC-P testing of rat pancreas tissue with insulin antibody. HIER: Boil the paraffin sections in pH 6, 10mM citrate buffer for 20 minutes and allow to cool prior to testing.
Availability 1-3 business days
Species Reactivity Human, Rabbit, Rat
Format Ascites
Clonality Monoclonal (mouse origin)
Isotype Mouse IgG1
Clone Name KC36AC10
Purity Ascites
Gene ID 3630
Applications Immunohistochemistry (FFPE) : 0.5-1ug/ml
Limitations This Insulin antibody is available for research use only.
Review this product on BioCompare and get a $20 Amazon gift card

Related Products

Description

Insulin, synthesized by the beta cells of the islets of Langerhans, consists of two dissimilar polypeptide chains, A and B, which are linked by two disulfide bonds. The gene contains 3 exons and 2 introns; exon 2 encodes the signal peptide, the B chain, and part of the C peptide, while exon 3 encodes the remainder of the C peptide and the A chain.

Application Notes

The stated application concentrations are suggested starting points. Titration of the Insulin antibody may be required due to differences in protocols and secondary/substrate sensitivity.

Immunogen

Human insulin was used as the immunogen for this Insulin antibody.

Storage

After reconstitution, the Insulin antibody can be stored for up to one month at 4oC. For long-term, aliquot and store at -20oC. Avoid repeated freezing and thawing.

Cross
Bulk Quote Request Form
Name*:
Organization*:
Email*:
Phone Number*:
Catalog No.*:
Comments and Specifics(amount, formulation, etc.)*:
Validation code: Captchapackage Image


Can't read the image? click here to refresh.
    *required field

Your bulk quote request has been submitted successfully!

Please contact us if you have any questions.