• Tel: 858.663.9055
  • SeparatorEmail: info@nsjbio.com
  • Tel: 858.663.9055
  • Email: info@nsjbio.com
Home >> Antibodies >> INPPL1 Antibody / SHIP2

INPPL1 Antibody / SHIP2 [clone 8C13] (RQ6359)

  Catalog No Formulation Size Price (USD)  
Image RQ6359 0.5mg/ml if reconstituted with 0.2ml sterile DI water 100 ug 439
Bulk quote request
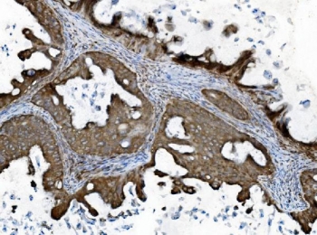
IHC staining of FFPE human ovarian cancer with INPPL1 antibody. HIER: boil tissue sections in pH8 EDTA for 20 min and allow to cool before testing.
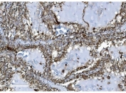
IHC staining of FFPE human renal clear cell carcinoma tissue with INPPL1 antibody. HIER: boil tissue sections in pH8 EDTA for 20 min and allow to cool before testing.
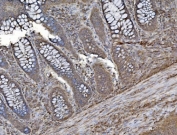
IHC staining of FFPE human rectal cancer tissue with INPPL1 antibody. HIER: boil tissue sections in pH8 EDTA for 20 min and allow to cool before testing.
IHC staining of FFPE mouse brain tissue with INPPL1 antibody. HIER: boil tissue sections in pH8 EDTA for 20 min and allow to cool before testing.
IHC staining of FFPE rat brain tissue with INPPL1 antibody. HIER: boil tissue sections in pH8 EDTA for 20 min and allow to cool before testing.
Immunofluorescent staining of FFPE human HeLa cells with INPPL1 antibody (green) and DAPI nuclear stain (blue). HIER: steam section in pH6 citrate buffer for 20 min.
Western blot testing of 1) human HeLa, 2) human Raji, 3) human PC-3, 4) rat C6 and 5) mouse NIH-3T3 cell lysate with INPPL1 antibody. Predicted molecular weight ~139 kDa (isoform 1), ~113 kDa (isoform 2).
Flow cytometry testing of human ThP-1 cells with INPPL1 antibody at 1ug/million cells (blocked with goat sera); Red=cells alone, Green=isotype control, Blue= INPPL1 antibody.
Availability 1-3 business days
Species Reactivity Human, Mouse, Rat
Format Purified
Clonality Monoclonal (mouse origin)
Isotype Mouse IgG2a
Clone Name 8C13
Purity Antigen affinity purified
Buffer Lyophilized from 1X PBS with 2% Trehalose
UniProt O15357
Localization Cytoplasmic, nuclear
Applications Western Blot : 0.5-1ug/ml
Immunohistochemistry (FFPE) : 2-5ug/ml
Immunofluorescence (FFPE) : 5ug/ml
Flow Cytometry : 1-3ug/million cells
Limitations This INPPL1 antibody is available for research use only.
Review this product on BioCompare and get a $20 Amazon gift card

Related Products

  • Applications : WB, IHC-P, IF/ICC, FACS, Direct ELISA
    Reactivity : Human, Mouse, Rat

Description

SH2-domain containing Phosphatidylinositol-3,4,5-trisphosphate 5-phosphatase 2 is an enzyme that in humans is encoded by the INPPL1 gene. The protein encoded by this gene is an SH2-containing 5'-inositol phosphatase that is involved in the regulation of insulin function. The encoded protein also plays a role in the regulation of epidermal growth factor receptor turnover and actin remodelling. Additionally, this gene supports metastatic growth in breast cancer and is a valuable biomarker for breast cancer.

Application Notes

Optimal dilution of the INPPL1 antibody should be determined by the researcher.

Immunogen

Recombinant human protein (amino acids R1172-K1258) was used as the immunogen for the INPPL1 antibody.

Storage

After reconstitution, the INPPL1 antibody can be stored for up to one month at 4oC. For long-term, aliquot and store at -20oC. Avoid repeated freezing and thawing.

Cross
Bulk Quote Request Form
Name*:
Organization*:
Email*:
Phone Number*:
Catalog No.*:
Comments and Specifics(amount, formulation, etc.)*:
Validation code: Captchapackage Image


Can't read the image? click here to refresh.
    *required field

Your bulk quote request has been submitted successfully!

Please contact us if you have any questions.