• Tel: 858.663.9055
  • SeparatorEmail: info@nsjbio.com
  • Tel: 858.663.9055
  • Email: info@nsjbio.com
Home >> Antibodies >> INPP4B Antibody

INPP4B Antibody [clone GDO-9] (RQ4725)

  Catalog No Formulation Size Price (USD)  
Image RQ4725 Antibody in PBS with 0.02% sodium azide, 50% glycerol and 0.4-0.5mg/ml BSA 100 ul 439
Microvalidated Rab Mono Image
Bulk quote request
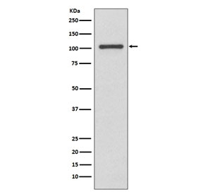
Western blot testing of human MCF7 cell lysate with INPP4B antibody. Predicted molecular weight ~105 kDa.
Availability 1-2 weeks
Species Reactivity Human
Format Purified
Clonality Rabbit Monoclonal
Isotype Rabbit IgG
Clone Name GDO-9
Purity Affinity purified
UniProt O15327
Applications Western Blot : 1:1000-1:2000
Limitations This INPP4B antibody is available for research use only.
Review this product on BioCompare and get a $20 Amazon gift card

Description

The INPP4B gene encodes the inositol polyphosphate 4-phosphatase type II, one of the enzymes involved in phosphatidylinositol signaling pathways. This enzyme removes the phosphate group at position 4 of the inositol ring from inositol 3,4-bisphosphate. [RefSeq]

Application Notes

Optimal dilution of the INPP4B antibody should be determined by the researcher.

Immunogen

A synthetic peptide specific to human INPP4B / Type II inositol 3,4-bisphosphate 4-phosphatase was used as the immunogen for the INPP4B antibody.

Storage

Store the INPP4B antibody at -20oC.

Cross
Bulk Quote Request Form
Name*:
Organization*:
Email*:
Phone Number*:
Catalog No.*:
Comments and Specifics(amount, formulation, etc.)*:
Validation code: Captchapackage Image


Can't read the image? click here to refresh.
    *required field

Your bulk quote request has been submitted successfully!

Please contact us if you have any questions.