• Tel: 858.663.9055
  • SeparatorEmail: info@nsjbio.com
  • Tel: 858.663.9055
  • Email: info@nsjbio.com
Home >> Antibodies >> Inosine triphosphate pyrophosphatase Antibody / ITPA / ITPase

Inosine triphosphate pyrophosphatase Antibody / ITPA / ITPase (F54812)

  Catalog No Formulation Size Price (USD)  
Image F54812-0.4ML In 1X PBS, pH 7.4, with 0.09% sodium azide 0.4 ml 429
Image
F54812-0.08ML In 1X PBS, pH 7.4, with 0.09% sodium azide 0.08 ml 199
Bulk quote request
Western blot testing of human 1) A375, 2) HeLa, 3) HepG2, 4) mouse brain and 5) rat liver lysate with Inosine triphosphate pyrophosphatase antibody. Predicted molecular weight ~21 kDa.
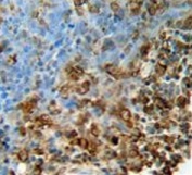
IHC testing of FFPE human lung carcinoma tissue with Inosine triphosphate pyrophosphatase antibody. HIER: steam section in pH6 citrate buffer for 20 min and allow to cool prior to staining.
Immunofluorescent staining of human HeLa cells with Inosine triphosphate pyrophosphatase antibody (green) and anti-Actin (red).
Flow cytometry testing of human A375 cells with Inosine triphosphate pyrophosphatase antibody; Blue=isotype control, Green= Inosine triphosphate pyrophosphatase antibody.
Availability 1-3 business days
Species Reactivity Human
Format Purified
Clonality Polyclonal (rabbit origin)
Isotype Rabbit Ig
Purity Antigen affinity purified
UniProt Q9BY32
Localization Cytoplasmic
Applications Western Blot : 1:500-1:1000
Immunofluorescence : 1:25
Flow Cytometry : 1:25 (1x10e6 cells)
Immunohistochemistry (FFPE) : 1:50-1:100
Limitations This Inosine triphosphate pyrophosphatase antibody is available for research use only.
Review this product on BioCompare and get a $20 Amazon gift card

Related Products

Description

ITPA hydrolyzes inosine triphosphate and deoxyinosine triphosphate to the monophosphate nucleotide and diphosphate. The encoded protein, which is a member of the HAM1 NTPase protein family, is found in the cytoplasm and acts as a homodimer. Defects in the encoded protein can result in inosine triphosphate pyrophosphorylase deficiency. Two transcript variants encoding two different isoforms have been found for this gene.

Application Notes

The stated application concentrations are suggested starting points. Titration of the Inosine triphosphate pyrophosphatase antibody may be required due to differences in protocols and secondary/substrate sensitivity.

Immunogen

A portion of amino acids 24-51 from the human protein was used as the immunogen for the Inosine triphosphate pyrophosphatase antibody.

Storage

Aliquot the Inosine triphosphate pyrophosphatase antibody and store frozen at -20oC or colder. Avoid repeated freeze-thaw cycles.

Cross
Bulk Quote Request Form
Name*:
Organization*:
Email*:
Phone Number*:
Catalog No.*:
Comments and Specifics(amount, formulation, etc.)*:
Validation code: Captchapackage Image


Can't read the image? click here to refresh.
    *required field

Your bulk quote request has been submitted successfully!

Please contact us if you have any questions.