• Tel: 858.663.9055
  • SeparatorEmail: info@nsjbio.com
  • Tel: 858.663.9055
  • Email: info@nsjbio.com
Home >> Antibodies >> INI1 Antibody / Integrase interactor 1 / SMARCB1 / BAF47

INI1 Antibody / Integrase interactor 1 / SMARCB1 / BAF47 [clone SMARCB1/3984] (V9617)

  Catalog No Formulation Size Price (USD)  
Image V9617-100UG 0.2 mg/ml in 1X PBS with 0.1 mg/ml BSA (US sourced), 0.05% sodium azide 100 ug 539
Image
V9617-20UG 0.2 mg/ml in 1X PBS with 0.1 mg/ml BSA (US sourced), 0.05% sodium azide 20 ug 249
Image
V9617SAF-100UG 1 mg/ml in 1X PBS; BSA free, sodium azide free 100 ug 539
Microvalidated
Bulk quote request
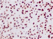
IHC staining of FFPE human epithelioid sarcoma with INI1 antibody (clone SMARCB1/3984). HIER: boil tissue sections in pH 9 10mM Tris with 1mM EDTA for 20 min and allow to cool before testing.
IHC staining of FFPE human epithelioid sarcoma tissue with INI1 antibody (clone SMARCB1/3984). HIER: boil tissue sections in pH 9 10mM Tris with 1mM EDTA for 20 min and allow to cool before testing.
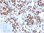
IHC staining of FFPE human testis tissue with INI1 antibody (clone SMARCB1/3984) at 2ug/ml. Negative control inset: PBS instead of primary antibody to control for secondary binding. HIER: boil tissue sections in pH 9 10mM Tris with 1mM EDTA for 20 min and allow to cool before testing.
SDS-PAGE analysis of purified, BSA-free INI1 antibody (clone SMARCB1/3984) as confirmation of integrity and purity.
Analysis of HuProt(TM) microarray containing more than 19,000 full-length human proteins using INI1 antibody (clone SMARCB1/3984). These results demonstrate the foremost specificity of the SMARCB1/3984 mAb. Z- and S- score: The Z-score represents the strength of a signal that an antibody (in combination with a fluorescently-tagged anti-IgG secondary Ab) produces when binding to a particular protein on the HuProt(TM) array. Z-scores are described in units of standard deviations (SD's) above the mean value of all signals generated on that array. If the targets on the HuProt(TM) are arranged in descending order of the Z-score, the S-score is the difference (also in units of SD's) between the Z-scores. The S-score therefore represents the relative target specificity of an Ab to its intended target.
Availability 1-3 business days
Species Reactivity Human
Format Purified
Clonality Monoclonal (mouse origin)
Isotype Mouse IgG2b, kappa
Clone Name SMARCB1/3984
Purity Protein A/G affinity
UniProt Q12824
Localization Nucleus
Applications Immunohistochemistry (FFPE) : 1-2ug/ml
Limitations This INI1 antibody is available for research use only.
Review this product on BioCompare and get a $20 Amazon gift card

Related Products

Description

The SMARCB1 gene, which encodes a functionally uncharacterized protein component of the hSWI/SNF chromatin remodeling complex, is often mutated or deleted in malignant rhabdoid tumor (MRT). Two isoforms of INI-1, that differ by the variable inclusion of amino acids, potentially are produced by differential RNA splicing. The morphology of MRTs can present challenges in differential diagnosis. The overall survival of MRTs relative to its potential mimics (medulloblastoma, supratentorial primitive neuroectodermal tumors (sPNETs) is quite low, and thus differentiation from these other tumors is desirable. Lack of nuclear labeling by anti-INI-1 is characteristic of MRT. The majority of medulloblastomas and sPNETs are labeled by anti-INI-1. MRTs also originate from the kidney and soft tissues.

Application Notes

Optimal dilution of the INI1 antibody should be determined by the researcher.

Immunogen

A portion of amino acids 65-184 was used as the immunogen for the INI1 antibody.

Storage

Aliquot the INI1 antibody and store frozen at -20oC or colder. Avoid repeated freeze-thaw cycles.

Cross
Bulk Quote Request Form
Name*:
Organization*:
Email*:
Phone Number*:
Catalog No.*:
Comments and Specifics(amount, formulation, etc.)*:
Validation code: Captchapackage Image


Can't read the image? click here to refresh.
    *required field

Your bulk quote request has been submitted successfully!

Please contact us if you have any questions.