• Tel: 858.663.9055
  • SeparatorEmail: info@nsjbio.com
  • Tel: 858.663.9055
  • Email: info@nsjbio.com
Home >> Antibodies >> Inhibin beta B chain Antibody / INHBB

Inhibin beta B chain Antibody / INHBB (F54580)

  Catalog No Formulation Size Price (USD)  
Image F54580-0.4ML In 1X PBS, pH 7.4, with 0.09% sodium azide 0.4 ml 429
Image
F54580-0.08ML In 1X PBS, pH 7.4, with 0.09% sodium azide 0.08 ml 199
Bulk quote request
Western blot testing of human 1) A549 and 2) SK-BR-3 cell lysate with Inhibin beta B chain antibody. Expected molecular weight: 17 kDa (mature form), 42 kDa (pro peptide form) and 55 kDa (pro form).
Western blot testing of 1) human A549, 2) human PC-3 and 3) mouse testis lysate with Inhibin beta B chain antibody. Expected molecular weight: 17 kDa (mature form), 42 kDa (pro peptide form) and 55 kDa (pro form).
Western blot testing of mouse uterus lysate with Inhibin beta B chain antibody. Expected molecular weight: 17 kDa (mature form), 42 kDa (pro peptide form) and 55 kDa (pro form).
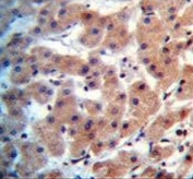
IHC testing of FFPE human uterus tissue with Inhibin beta B chain antibody. HIER: steam section in pH6 citrate buffer for 20 min and allow to cool prior to staining.
Availability 1-3 business days
Species Reactivity Human, Mouse
Format Purified
Clonality Polyclonal (rabbit origin)
Isotype Rabbit Ig
Purity Antigen affinity purified
UniProt P09529
Applications Immunohistochemistry (FFPE) : 1:25
Western Blot : 1:500-1:2000
Limitations This Inhibin beta B chain antibody is available for research use only.
Review this product on BioCompare and get a $20 Amazon gift card

Description

The inhibin beta B subunit joins the alpha subunit to form a pituitary FSH secretion inhibitor. Inhibin has been shown to regulate gonadal stromal cell proliferation negatively and to have tumour-suppressor activity. In addition, serum levels of inhibin have been shown to reflect the size of granulosa-cell tumors and can therefore be used as a marker for primary as well as recurrent disease. Because expression in gonadal and various extragonadal tissues may vary severalfold in a tissue-specific fashion, it is proposed that inhibin may be both a growth/differentiation factor and a hormone. Furthermore, the beta B subunit forms a homodimer, activin B, and also joins with the beta A subunit to form a heterodimer, activin AB, both of which stimulate FSH secretion.

Application Notes

The stated application concentrations are suggested starting points. Titration of the Inhibin beta B chain antibody may be required due to differences in protocols and secondary/substrate sensitivity.

Immunogen

A portion of amino acids 369-397 from the human protein was used as the immunogen for the Inhibin beta B chain antibody.

Storage

Aliquot the Inhibin beta B chain antibody and store frozen at -20oC or colder. Avoid repeated freeze-thaw cycles.

Cross
Bulk Quote Request Form
Name*:
Organization*:
Email*:
Phone Number*:
Catalog No.*:
Comments and Specifics(amount, formulation, etc.)*:
Validation code: Captchapackage Image


Can't read the image? click here to refresh.
    *required field

Your bulk quote request has been submitted successfully!

Please contact us if you have any questions.