• Tel: 858.663.9055
  • SeparatorEmail: info@nsjbio.com
  • Tel: 858.663.9055
  • Email: info@nsjbio.com
Home >> Antibodies >> Inhibin beta A chain Antibody / INHBA

Inhibin beta A chain Antibody / INHBA (F54579)

  Catalog No Formulation Size Price (USD)  
Image F54579-0.4ML In 1X PBS, pH 7.4, with 0.09% sodium azide 0.4 ml 429
Image
F54579-0.08ML In 1X PBS, pH 7.4, with 0.09% sodium azide 0.08 ml 199
Bulk quote request
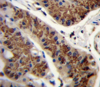
IHC testing of FFPE human stomach tissue with Inhibin beta A chain antibody. HIER: steam section in pH6 citrate buffer for 20 min and allow to cool prior to staining.
Immunofluorescent staining of human HepG2 cells with Inhibin beta A chain antibody (green) and DAPI nuclear stain (blue).
Western blot testing of human CEM cell lysate with Inhibin beta A chain antibody. Predicted molecular weight ~47 kDa.
Flow cytometry testing of human CEM cells with Inhibin beta A chain antibody; Blue=isotype control, Green= Inhibin beta A chain antibody.
Availability 1-3 business days
Species Reactivity Human
Format Purified
Clonality Polyclonal (rabbit origin)
Isotype Rabbit Ig
Purity Antigen affinity purified
UniProt P08476
Applications Western Blot : 1:500-1:2000
Immunohistochemistry (FFPE) : 1:25
Immunofluorescence : 1:25
Flow Cytometry : 1:25 (1x10e6 cells)
Limitations This Inhibin beta A chain antibody is available for research use only.
Review this product on BioCompare and get a $20 Amazon gift card

Description

The inhibin beta A subunit joins the alpha subunit to form a pituitary FSH secretion inhibitor. Inhibin has been shown to regulate gonadal stromal cell proliferation negatively and to have tumor-suppressor activity. In addition, serum levels of inhibin have been shown to reflect the size of granulosa-cell tumors and can therefore be used as a marker for primary as well as recurrent disease. Because expression in gonadal and various extragonadal tissues may vary severalfold in a tissue-specific fashion, it is proposed that inhibin may be both a growth/differentiation factor and a hormone. Furthermore, the beta A subunit forms a homodimer, activin A, and also joins with a beta B subunit to form a heterodimer, activin AB, both of which stimulate FSH secretion. Finally, it has been shown that the beta A subunit mRNA is identical to the erythroid differentiation factor subunit mRNA and that only one gene for this mRNA exists in the human genome.

Application Notes

The stated application concentrations are suggested starting points. Titration of the Inhibin beta A chain antibody may be required due to differences in protocols and secondary/substrate sensitivity.

Immunogen

A portion of amino acids 85-112 from the human protein was used as the immunogen for the Inhibin beta A chain antibody.

Storage

Aliquot the Inhibin beta A chain antibody and store frozen at -20oC or colder. Avoid repeated freeze-thaw cycles.

Cross
Bulk Quote Request Form
Name*:
Organization*:
Email*:
Phone Number*:
Catalog No.*:
Comments and Specifics(amount, formulation, etc.)*:
Validation code: Captchapackage Image


Can't read the image? click here to refresh.
    *required field

Your bulk quote request has been submitted successfully!

Please contact us if you have any questions.