• Tel: 858.663.9055
  • SeparatorEmail: info@nsjbio.com
  • Tel: 858.663.9055
  • Email: info@nsjbio.com
Home >> Antibodies >> INF2 Antibody / Inverted formin-2

INF2 Antibody / Inverted formin-2 (RQ7429)

  Catalog No Formulation Size Price (USD)  
Image RQ7429 0.5mg/ml if reconstituted with 0.2ml sterile DI water 100 ug 439
Bulk quote request
Immunofluorescent staining of FFPE human A549 cells with IFN2 antibody (green) and DAPI nuclear stain (blue). HIER: steam section in pH6 citrate buffer for 20 min.
Western blot testing of human 1) HeLa and 2) A549 cell lysate with INF2 antibody. Predicted molecular weight ~136 kDa, routinely observed at 170-180 kDa.
Flow cytometry testing of human HEL cells with INF2 antibody at 1ug/million cells (blocked with goat sera); Red=cells alone, Green=isotype control, Blue= INF2 antibody.
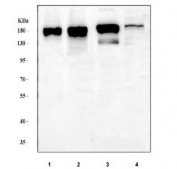
Western blot testing of 1) human HeLa and 2) human A549, 3) rat C6 and 4) mouse brain tissue lysate with INF2 antibody. Predicted molecular weight ~136 kDa, routinely observed at 170-180 kDa.
Immunoprecipitation of INF2 protein from 500ug of human HeLa whole cell lysate with 2ug of INF2 antibody.
Availability 1-3 business days
Species Reactivity Human, Mouse, Rat
Format Antigen affinity purified
Clonality Polyclonal (rabbit origin)
Isotype Rabbit IgG
Purity Antigen affinity purified
Buffer Lyophilized from 1X PBS with 2% Trehalose
UniProt Q27J81
Localization Cytoplasmic, perinuclear
Applications Western Blot : 0.5-1ug/ml
Immunofluorescence : 5ug/ml
Flow Cytometry : 1-3ug/million cells
Immunoprecipitation : 2ug/500ug of lysate
Direct ELISA : 0.1-0.5ug/ml
Limitations This INF2 antibody is available for research use only.
Review this product on BioCompare and get a $20 Amazon gift card

Description

Inverted formin-2 is a protein that in humans is encoded by the INF2 gene. This gene represents a member of the formin family of proteins. It is considered a diaphanous formin due to the presence of a diaphanous inhibitory domain located at the N-terminus of the encoded protein. Studies of a similar mouse protein indicate that the protein encoded by this locus may function in polymerization and depolymerization of actin filaments. Mutations at this locus have been associated with focal segmental glomerulosclerosis 5.

Application Notes

Optimal dilution of the INF2 antibody should be determined by the researcher.

Immunogen

E. coli-derived recombinant human protein (amino acids A7-Q674) was used as the immunogen for the INF2 antibody.

Storage

After reconstitution, the INF2 antibody can be stored for up to one month at 4oC. For long-term, aliquot and store at -20oC. Avoid repeated freezing and thawing.

Cross
Bulk Quote Request Form
Name*:
Organization*:
Email*:
Phone Number*:
Catalog No.*:
Comments and Specifics(amount, formulation, etc.)*:
Validation code: Captchapackage Image


Can't read the image? click here to refresh.
    *required field

Your bulk quote request has been submitted successfully!

Please contact us if you have any questions.