• Tel: 858.663.9055
  • SeparatorEmail: info@nsjbio.com
  • Tel: 858.663.9055
  • Email: info@nsjbio.com
Home >> Antibodies >> IL3 Antibody

IL3 Antibody [clone IL3/4001] (V9546)

  Catalog No Formulation Size Price (USD)  
Image V9546-100UG 0.2 mg/ml in 1X PBS with 0.1 mg/ml BSA (US sourced), 0.05% sodium azide 100 ug 539
Image
V9546-20UG 0.2 mg/ml in 1X PBS with 0.1 mg/ml BSA (US sourced), 0.05% sodium azide 20 ug 249
Image
V9546SAF-100UG 1 mg/ml in 1X PBS; BSA free, sodium azide free 100 ug 539
Microvalidated
Bulk quote request
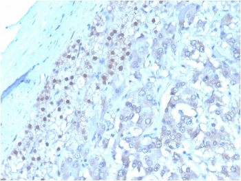
IHC staining of FFPE human adrenal gland tissue with IL3 antibody (clone I L3/4001). HIER: boil tissue sections in pH 9 10mM Tris with 1mM EDTA for 20 min and allow to cool before testing.
SDS-PAGE analysis of purified, BSA-free IL3 antibody (clone IL3/4001) as confirmation of integrity and purity.
Analysis of HuProt(TM) microarray containing more than 19,000 full-length human proteins using IL3 antibody (clone IL3/4001). These results demonstrate the foremost specificity of the IL3/4001 mAb. Z- and S- score: The Z-score represents the strength of a signal that an antibody (in combination with a fluorescently-tagged anti-IgG secondary Ab) produces when binding to a particular protein on the HuProt(TM) array. Z-scores are described in units of standard deviations (SD's) above the mean value of all signals generated on that array. If the targets on the HuProt(TM) are arranged in descending order of the Z-score, the S-score is the difference (also in units of SD's) between the Z-scores. The S-score therefore represents the relative target specificity of an Ab to its intended target.
Availability 1-3 business days
Species Reactivity Human
Format Purified
Clonality Monoclonal (mouse origin)
Isotype Mouse IgG2b, kappa
Clone Name IL3/4001
Purity Protein A/G affinity
UniProt P08700
Localization Secreted
Applications Immunohistochemistry (FFPE) : 1-2ug/ml
Limitations This IL3 antibody is available for research use only.
Review this product on BioCompare and get a $20 Amazon gift card

Related Products

  • Applications : IHC-P
    Reactivity : Human
    Microvalidated
  • Applications : IHC-P
    Reactivity : Human
    Microvalidated
  • Applications : IHC-P
    Reactivity : Human
    Microvalidated
  • Applications : WB (recombinant protein), IHC-P, ELISA (recombinant protein)
    Reactivity : Human
  • Applications : WB, ELISA (protein)
    Reactivity : Rat
  • Applications : WB
    Reactivity : Human
  • Applications : WB
    Reactivity : Mouse
  • Applications : WB, IHC-P
    Reactivity : Human
  • Applications : WB, IHC-P, Direct ELISA
    Reactivity : Mouse

Description

Interleukin-3, or IL-3, is a pleiotropic cytokine that is primarily secreted by activated T lymphocytes and stimulates the proliferation and differentiation of hematopoietic cells. IL-3 not only supports growth of both pluripotent stem cells and the more differentiated committed progenitors, but it also stimulates the functional activity of some fully differentiated cells. IL-3 has also been shown to protect mast cells from undergoing apoptosis. IL-3 exerts its biological effects through a receptor which consists of a ligand-specific subunit has been shown to be necessary for activation of the MAP kinase signaling pathway. Although the IL-3 receptor has no intrinsic kinase activity, stimulation with IL-3 leads to tyrosine phosphorylation of the JAK/Tyk 2 family member, JAK2, which in turn activates and causes nuclear translocation of Stat5a and Stat5b.

Application Notes

Optimal dilution of the IL3 antibody should be determined by the researcher.

Immunogen

A recombinant protein fragment was used as the immunogen for the IL3 antibody.

Storage

Aliquot the IL3 antibody and store frozen at -20oC or colder. Avoid repeated freeze-thaw cycles.

Cross
Bulk Quote Request Form
Name*:
Organization*:
Email*:
Phone Number*:
Catalog No.*:
Comments and Specifics(amount, formulation, etc.)*:
Validation code: Captchapackage Image


Can't read the image? click here to refresh.
    *required field

Your bulk quote request has been submitted successfully!

Please contact us if you have any questions.