• Tel: 858.663.9055
  • SeparatorEmail: info@nsjbio.com
  • Tel: 858.663.9055
  • Email: info@nsjbio.com
Home >> Antibodies >> IL22 Antibody

IL22 Antibody (R32873)

  Catalog No Formulation Size Price (USD)  
Image R32873 0.5mg/ml if reconstituted with 0.2ml sterile DI water 100 ug 439
Bulk quote request
IHC staining of FFPE human spleen tissue with IL22 antibody. HIER: boil tissue sections in pH8 EDTA for 20 min and allow to cool before testing.
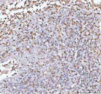
IHC staining of FFPE human rectum adenocarcinoma tissue with IL22 antibody. HIER: boil tissue sections in pH8 EDTA for 20 min and allow to cool before testing.
IHC staining of FFPE mouse thymus tissue with IL22 antibody. HIER: boil tissue sections in pH8 EDTA for 20 min and allow to cool before testing.
Western blot testing of 1) human placenta, 2) rat thymus and 3) mouse thymus tissue lysate with IL22 antibody. Expected molecular weight: 19~25 kDa depending on glycosylation level.
Availability 1-3 business days
Species Reactivity Human, Mouse, Rat
Format Antigen affinity purified
Clonality Polyclonal (rabbit origin)
Isotype Rabbit IgG
Purity Antigen affinity
Buffer Lyophilized from 1X PBS with 2% Trehalose
UniProt Q9GZX6
Localization Secreted
Applications Western Blot : 1-2ug/ml
Immunohistochemistry (FFPE) : 2-5ug/ml
ELISA (human Recombinant Protein) : 0.1-0.5ug/ml (BSA-free format available)
Limitations This IL22 antibody is available for research use only.
Review this product on BioCompare and get a $20 Amazon gift card

Related Products

  • Applications : FACS
    Reactivity : Human
  • Applications : WB, ELISA
    Reactivity : Human
    Pred. Reactivity : Mouse
  • Applications : WB, ELISA (peptide)
    Reactivity : Human
  • Applications : WB, ELISA (peptide)
    Reactivity : Human
    Pred. Reactivity : Mouse
  • Applications : WB
    Reactivity : Human, Mouse, Rat
  • Applications : WB, ELISA
    Reactivity : Mouse

Description

Interleukin-22 (IL22), also known as ILTIF, is protein that in humans is encoded by the IL22 gene. IL-22 a member of a group of cytokines called the IL-10 family or IL-10 superfamily, a class of potent mediators of cellular inflammatory responses. Using FISH, the IL22 gene is mapped to chromosome 12q15, close to the IFNG and the herpesvirus saimiri-induced AK155 genes. IL-22 can contribute to immune disease through the stimulation of inflammatory responses, S100s and defensins. It also promotes hepatocyte survival in the liver and epithelial cells in the lung and gut similar to IL-10. In some contexts, the pro-inflammatory versus tissue-protective functions of IL-22 are regulated by the often co-expressed cytokine IL-17A.

Application Notes

Optimal dilution of the IL22 antibody should be determined by the researcher.

Immunogen

A recombinant human protein corresponding to amino acids A34-I179 was used as the immunogen for the IL22 antibody.

Storage

After reconstitution, the IL22 antibody can be stored for up to one month at 4oC. For long-term, aliquot and store at -20oC. Avoid repeated freezing and thawing.

Cross
Bulk Quote Request Form
Name*:
Organization*:
Email*:
Phone Number*:
Catalog No.*:
Comments and Specifics(amount, formulation, etc.)*:
Validation code: Captchapackage Image


Can't read the image? click here to refresh.
    *required field

Your bulk quote request has been submitted successfully!

Please contact us if you have any questions.