- Tel: 858.663.9055
- 
									 Email: info@nsjbio.com Email: info@nsjbio.com
- Tel: 858.663.9055
- Email: info@nsjbio.com
 Email: info@nsjbio.com
Email: info@nsjbio.com
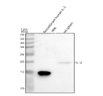
								IL2 antibody detects Interleukin-2, a cytokine essential for lymphocyte proliferation, immune tolerance, and cytotoxic activation. IL2 was one of the first cytokines to be molecularly cloned and remains a central molecule in immunology due to its dual role in promoting effector responses and maintaining regulatory T cell (Treg) homeostasis. The IL2 antibody is widely used in immunology and cancer research to investigate T-cell activation, cytokine signaling, and immune regulation.
IL2 is encoded by the IL2 gene on human chromosome 4q27. The protein is produced primarily by activated CD4+ T cells as a 153-amino acid precursor, which is processed to a 15.5 kilodalton mature secreted cytokine. IL2 binds with high affinity to the heterotrimeric IL2 receptor complex (IL2Ralpha/CD25, IL2Rbeta/CD122, and gammac/CD132), triggering JAK1/3-mediated phosphorylation of STAT5 and subsequent transcription of proliferation and survival genes.
The IL2 antibody detects secreted and intracellular IL2 by western blot or immunoassay, and shows cytoplasmic and perinuclear staining in activated lymphocytes. IL2 drives clonal expansion of T and NK cells, enhances cytotoxicity, and induces differentiation of regulatory T cells to maintain immune balance. Dysregulation of IL2 signaling leads to immune deficiency or autoimmunity, depending on whether its production or receptor function is impaired.
Clinically, IL2 forms the basis for several immunotherapeutic strategies, including recombinant IL2 (aldesleukin) for metastatic melanoma and renal carcinoma. It also serves as a biomarker for T-cell activation in immunomonitoring assays. Genetic polymorphisms in IL2 or its receptor subunits have been associated with autoimmune diseases such as type 1 diabetes, rheumatoid arthritis, and multiple sclerosis.
As a key cytokine in immune communication, IL2 bridges innate and adaptive responses, coordinating activation, tolerance, and memory formation. NSJ Bioreagents provides a validated IL2 antibody optimized for ELISA, western blot, and flow cytometry, supporting research into cytokine signaling, immune activation, and therapeutic development.
Optimal dilution of the IL2 antibody should be determined by the researcher.
E.coli-derived human IL2 recombinant protein (Position: M1-T153) was used as the immunogen for the IL2 antibody.
After reconstitution, the IL2 antibody can be stored for up to one month at 4oC. For long-term, aliquot and store at -20oC. Avoid repeated freezing and thawing.
 
Your bulk quote request has been submitted successfully!
Please contact us if you have any questions.