• Tel: 858.663.9055
  • SeparatorEmail: info@nsjbio.com
  • Tel: 858.663.9055
  • Email: info@nsjbio.com
Home >> Antibodies >> IL1RN Antibody / IL1RA / Interleukin-1 Receptor Antagonist

IL1RN Antibody / IL1RA / Interleukin-1 Receptor Antagonist (F54851)

  Catalog No Formulation Size Price (USD)  
Image F54851-0.4ML In 1X PBS, pH 7.4, with 0.09% sodium azide 0.4 ml 429
Image
F54851-0.08ML In 1X PBS, pH 7.4, with 0.09% sodium azide 0.08 ml 199
Bulk quote request
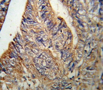
IHC testing of FFPE human colon carcinoma tissue with IL1RN antibody. HIER: steam section in pH6 citrate buffer for 20 min and allow to cool prior to staining.
Immunofluorescent staining of human WiDr cells with IL1RN antibody (green) and DAPI nuclear stain (blue).
Western blot testing of 1) non-transfected and 2) transfected 293 cell lysate with IL1RN antibody.
Flow cytometry testing of human HEK293 cells with IL1RN antibody; Blue=isotype control, Green= IL1RN antibody.
Availability 1-3 business days
Species Reactivity Human
Format Purified
Clonality Polyclonal (rabbit origin)
Isotype Rabbit Ig
Purity Purified
UniProt P18510
Localization Cytoplasmic
Applications Flow Cytometry : 1:10-1:50 (1x10e6 cells)
Immunofluorescence : 1:10-1:50
Immunohistochemistry (FFPE) : 1:10-1:50
Western Blot : 1:500-1:1000
Limitations This IL1RN antibody is available for research use only.
Review this product on BioCompare and get a $20 Amazon gift card

Related Products

Description

The protein is a member of the interleukin 1 cytokine family. This protein inhibits the activities of interleukin 1, alpha (IL1A) and interleukin 1, beta (IL1B), and modulates a variety of interleukin 1 related immune and inflammatory responses. A polymorphism of its gene is reported to be associated with increased risk of osteoporotic fractures and gastric cancer.

Application Notes

The stated application concentrations are suggested starting points. Titration of the IL1RN antibody may be required due to differences in protocols and secondary/substrate sensitivity.

Immunogen

A portion of amino acids 100-129 from the human protein was used as the immunogen for the IL1RN antibody.

Storage

Aliquot the IL1RN antibody and store frozen at -20oC or colder. Avoid repeated freeze-thaw cycles.

Cross
Bulk Quote Request Form
Name*:
Organization*:
Email*:
Phone Number*:
Catalog No.*:
Comments and Specifics(amount, formulation, etc.)*:
Validation code: Captchapackage Image


Can't read the image? click here to refresh.
    *required field

Your bulk quote request has been submitted successfully!

Please contact us if you have any questions.