• Tel: 858.663.9055
  • SeparatorEmail: info@nsjbio.com
  • Tel: 858.663.9055
  • Email: info@nsjbio.com
Home >> Antibodies >> IL1RA Antibody / Interleukin-1 Receptor Antagonist / IL1RN

IL1RA Antibody / Interleukin-1 Receptor Antagonist / IL1RN (R32852)

  Catalog No Formulation Size Price (USD)  
Image R32852 0.5mg/ml if reconstituted with 0.2ml sterile DI water 100 ug 439
Bulk quote request
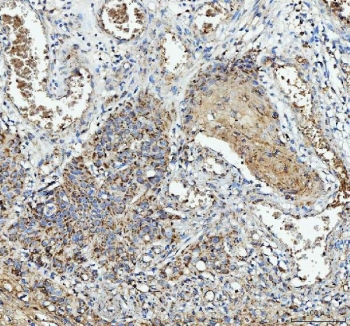
IHC staining of FFPE human esophageal squamous carcinoma tissue with IL1RA antibody. HIER: boil tissue sections in pH8 EDTA for 20 min and allow to cool before testing.
Western blot testing of human 1) RT4 and 2) HaCaT cell lysate with IL1RA antibody. Predicted molecular weight ~20 kDa.
Flow cytometry testing of fixed and permeabilized human U937 cells with IL1RA antibody at 1ug/million cells (blocked with goat sera); Red=cells alone, Green=isotype control, Blue= IL1RA antibody.
Availability 1-3 business days
Species Reactivity Human
Format Antigen affinity purified
Clonality Polyclonal (rabbit origin)
Isotype Rabbit IgG
Purity Antigen affinity
Buffer Lyophilized from 1X PBS with 2% Trehalose and 0.005% sodium azide
UniProt P18510
Applications Western Blot : 0.5-1ug/ml
Immunohistochemistry (FFPE) : 2-5ug/ml
Flow Cytometry : 1-3ug/million cells
ELISA (human Recombinant Protein) : 0.1-0.5ug/ml (BSA-free format available)
Limitations This IL1RA antibody is available for research use only.
Review this product on BioCompare and get a $20 Amazon gift card

Related Products

Description

The interleukin-1 receptor antagonist (IL-1RA) is a protein that in humans is encoded by the IL1RN gene. The protein encoded by this gene is a member of the interleukin 1 cytokine family. This protein inhibits the activities of interleukin 1, alpha (IL1A) and interleukin 1, beta (IL1B), and modulates a variety of interleukin 1 related immune and inflammatory responses. This gene and five other closely related cytokine genes form a gene cluster spanning approximately 400 kb on chromosome 2. A polymorphism of this gene is reported to be associated with increased risk of osteoporotic fractures and gastric cancer. Several alternatively spliced transcript variants encoding distinct isoforms have been reported.

Application Notes

Optimal dilution of the IL1RA antibody should be determined by the researcher.

Immunogen

A recombinant protein corresponding to amino acids R26-E177 was used as the immunogen for the IL1RA antibody.

Storage

After reconstitution, the IL1RA antibody can be stored for up to one month at 4oC. For long-term, aliquot and store at -20oC. Avoid repeated freezing and thawing.

Cross
Bulk Quote Request Form
Name*:
Organization*:
Email*:
Phone Number*:
Catalog No.*:
Comments and Specifics(amount, formulation, etc.)*:
Validation code: Captchapackage Image


Can't read the image? click here to refresh.
    *required field

Your bulk quote request has been submitted successfully!

Please contact us if you have any questions.