• Tel: 858.663.9055
  • SeparatorEmail: info@nsjbio.com
  • Tel: 858.663.9055
  • Email: info@nsjbio.com
Home >> Antibodies >> Il12 p40 Antibody / Il-12b

Il12 p40 Antibody / Il-12b (R32887)

  Catalog No Formulation Size Price (USD)  
Image R32887 0.5mg/ml if reconstituted with 0.2ml sterile DI water 100 ug 439
Bulk quote request
Western blot testing of rat kidney tissue with Il12 p40 antibody at 0.5ug/ml. Predicted molecular weight 37-40 kDa.
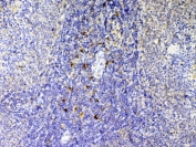
IHC testing of FFPE rat spleen tissue with Il12 p40 antibody at 1ug/ml. Required HIER: steam section in pH6 citrate buffer for 20 min and allow to cool prior to testing.
Availability 1-3 business days
Species Reactivity Rat
Format Antigen affinity purified
Clonality Polyclonal (rabbit origin)
Isotype Rabbit IgG
Purity Antigen affinity
Buffer Lyophilized from 1X PBS with 2.5% BSA, 0.025% sodium azide
UniProt E9PU71
Applications Western Blot : 0.5-1ug/ml
IHC (FFPE) : 1-2ug/ml
Direct ELISA (recombinant Rat Protein) : 0.1-0.5ug/ml (BSA-free format available)
Limitations This Il12 p40 antibody is available for research use only.
Review this product on BioCompare and get a $20 Amazon gift card

Description

Subunit beta of interleukin 12 (IL12B), also known as interleukin 12B, or interleukin-12 subunit p40, is a subunit of human interleukin 12. It is mapped to 5q33.3. This cytokine is expressed by activated macrophages that serve as an essential inducer of Th1 cells development. This cytokine has been found to be important for sustaining a sufficient number of memory/effector Th1 cells to mediate long-term protection to an intracellular pathogen. Overexpression of this gene was observed in the central nervous system of patients with multiple sclerosis (MS), suggesting a role of this cytokine in the pathogenesis of the disease.

Application Notes

Optimal dilution of the Il12 p40 antibody should be determined by the researcher.

Immunogen

A recombinant rat protein corresponding to amino acids M23-E250 was used as the immunogen for the Il12 p40 antibody.

Storage

After reconstitution, the Il12 p40 antibody can be stored for up to one month at 4oC. For long-term, aliquot and store at -20oC. Avoid repeated freezing and thawing.

Cross
Bulk Quote Request Form
Name*:
Organization*:
Email*:
Phone Number*:
Catalog No.*:
Comments and Specifics(amount, formulation, etc.)*:
Validation code: Captchapackage Image


Can't read the image? click here to refresh.
    *required field

Your bulk quote request has been submitted successfully!

Please contact us if you have any questions.