• Tel: 858.663.9055
  • SeparatorEmail: info@nsjbio.com
  • Tel: 858.663.9055
  • Email: info@nsjbio.com
Home >> Antibodies >> IL-7 Antibody

IL-7 Antibody (R31934)

  Catalog No Formulation Size Price (USD)  
Image R31934 0.5mg/ml if reconstituted with 0.2ml sterile DI water 100 ug 439
Bulk quote request
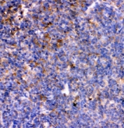
IHC staining of FFPE mouse lymph node with IL-7 antibody. HIER: boil tissue sections in pH8 EDTA for 20 min and allow to cool before testing.
IHC staining of FFPE rat lymph node with IL-7 antibody. HIER: boil tissue sections in pH8 EDTA for 20 min and allow to cool before testing.
Western blot testing of mouse 1) brain, 2) thymus and 3) NIH3T3 lysate with IL-7 antibody. Expected molecular weight: 19-30 kDa depending on glycosylation level.
Availability 1-3 business days
Species Reactivity Mouse, Rat
Format Antigen affinity purified
Clonality Polyclonal (rabbit origin)
Isotype Rabbit IgG
Purity Antigen affinity
Buffer Lyophilized from 1X PBS with 2.5% BSA and 0.025% sodium azide
UniProt P10168
Applications Western Blot : 0.1-0.5ug/ml
Immunohistochemistry (FFPE) : 2-5ug/ml
Limitations This IL-7 antibody is available for research use only.
Review this product on BioCompare and get a $20 Amazon gift card

Related Products

  • Applications : FACS, IF
    Reactivity : Human
    Recrabbitmono
  • Applications : FACS, IF, IHC-P
    Reactivity : Human
    Microvalidated
  • Applications : FACS, IF, IHC-P
    Reactivity : Human
    Microvalidated
  • Applications : IHC-P
    Reactivity : Human
  • Applications : WB, ELISA (protein)
    Reactivity : Human
  • Applications : WB, IHC-P
    Reactivity : Mouse, Human
  • Applications : WB, ELISA (protein)
    Reactivity : Human

Description

Interleukin 7 is a protein that in humans is encoded by the IL7 gene. The protein encoded by this gene is a cytokine important for B and T cell development. This cytokine and the hepatocyte growth factor (HGF) form a heterodimer that functions as a pre-pro-B cell growth-stimulating factor. And it is found to be a cofactor for V(D)J rearrangement of the T cell receptor beta (TCRB) during early T cell development. In addition, this cytokine can be produced locally by intestinal epithelial and epithelial goblet cells, and may serve as a regulatory factor for intestinal mucosal lymphocytes. Knockout studies in mice suggested that this cytokine plays an essential role in lymphoid cell survival. Alternative splicing results in multiple transcript variants encoding distinct isoforms. Additional splice variants have been described but their presence in normal tissues has not been confirmed.

Application Notes

Optimal dilution of the IL-7 antibody should be determined by the researcher.

Immunogen

Amino acids 26-154 of mouse IL-7 were used as the immunogen for the IL-7 antibody.

Storage

After reconstitution, the IL-7 antibody can be stored for up to one month at 4oC. For long-term, aliquot and store at -20oC. Avoid repeated freezing and thawing.

Cross
Bulk Quote Request Form
Name*:
Organization*:
Email*:
Phone Number*:
Catalog No.*:
Comments and Specifics(amount, formulation, etc.)*:
Validation code: Captchapackage Image


Can't read the image? click here to refresh.
    *required field

Your bulk quote request has been submitted successfully!

Please contact us if you have any questions.