• Tel: 858.663.9055
  • SeparatorEmail: info@nsjbio.com
  • Tel: 858.663.9055
  • Email: info@nsjbio.com
Home >> Antibodies >> IL-33 Antibody

IL-33 Antibody (R32819)

  Catalog No Formulation Size Price (USD)  
Image R32819 0.5mg/ml if reconstituted with 0.2ml sterile DI water 100 ug 439
Bulk quote request
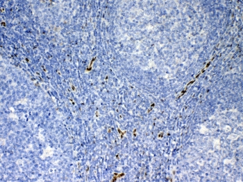
IHC testing of FFPE human tonsil tissue with IL-33 antibody at 1ug/ml. Required HIER: steam section in pH6 citrate buffer for 20 min and allow to cool prior to testing.
Western blot testing of recombinant human partial protein with IL-33 antibody at 0.5ug/ml.
Availability 1-3 business days
Species Reactivity Human
Format Antigen affinity purified
Clonality Polyclonal (rabbit origin)
Isotype Rabbit IgG
Purity Antigen affinity
Buffer Lyophilized from 1X PBS with 2.5% BSA, 0.025% sodium azide
UniProt O95760
Applications Western Blot : 0.5-1ug/ml
IHC (FFPE) : 1-2ug/ml
ELISA (Capture; Recombinant Human Protein) : 0.1-0.5ug/ml (BSA-free formulation available)
Limitations This IL-33 antibody is available for research use only.
Review this product on BioCompare and get a $20 Amazon gift card

Related Products

  • Applications : WB
    Reactivity : Mouse
    Recrabbitmono
  • Applications : WB, ELISA
    Reactivity : Human
  • Applications : WB, ELISA (peptide)
    Reactivity : Human
  • Applications : WB, ELISA (capture)
    Reactivity : Mouse, Rat
  • Applications : WB, IHC-P, ELISA
    Reactivity : Mouse, Rat

Description

Interleukin 33 (IL-33) is a protein that in humans is encoded by the IL33 gene. The protein encoded by this gene is a cytokine that binds to the IL1RL1/ST2 receptor. The encoded protein is involved in the maturation of Th2 cells and the activation of mast cells, basophils, eosinophils and natural killer cells. Several transcript variants encoding different isoforms have been found for this gene.

Application Notes

Optimal dilution of the IL-33 antibody should be determined by the researcher.

Immunogen

A recombinant human protein corresponding to amino acids A95-T270 was used as the immunogen for the IL-33 antibody.

Storage

After reconstitution, the IL-33 antibody can be stored for up to one month at 4oC. For long-term, aliquot and store at -20oC. Avoid repeated freezing and thawing.

Cross
Bulk Quote Request Form
Name*:
Organization*:
Email*:
Phone Number*:
Catalog No.*:
Comments and Specifics(amount, formulation, etc.)*:
Validation code: Captchapackage Image


Can't read the image? click here to refresh.
    *required field

Your bulk quote request has been submitted successfully!

Please contact us if you have any questions.