• Tel: 858.663.9055
  • SeparatorEmail: info@nsjbio.com
  • Tel: 858.663.9055
  • Email: info@nsjbio.com
Home >> Antibodies >> IL-2 receptor alpha Antibody / Cd25

IL-2 receptor alpha Antibody / Cd25 (RQ6563)

  Catalog No Formulation Size Price (USD)  
Image RQ6563 0.5mg/ml if reconstituted with 0.2ml sterile DI water 100 ug 439
Bulk quote request
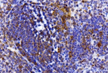
IHC staining of FFPE mouse spleen tissue with IL-2 receptor alpha antibody. HIER: boil tissue sections in pH8 EDTA for 20 min and allow to cool before testing.
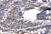
IHC staining of FFPE rat small intestine tissue with IL-2 receptor alpha antibody. HIER: boil tissue sections in pH8 EDTA for 20 min and allow to cool before testing.
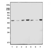
Western blot testing of 1) mouse ANA-1, 2) mouse NIH 3T3, 3) mouse RAW264.7, 4) mouse HEPA-1, 5) rat C6, 6) rat NRK and 7) rat RH35 cell lysate with IL-2 receptor alpha antibody. Expected molecular weight: 25~45 kDa depending on level of glycosylation.
Flow cytometry testing of mouse HEPA1-6 cells with IL-2 receptor alpha antibody at 1ug/million cells (blocked with goat sera); Red=cells alone, Green=isotype control, Blue= IL-2 receptor alpha antibody.
Availability 1-3 business days
Species Reactivity Mouse, Rat
Format Antigen affinity purified
Clonality Polyclonal (rabbit origin)
Isotype Rabbit IgG
Purity Affinity purified
Buffer Lyophilized from 1X PBS with 2% Trehalose
UniProt P01590
Localization Cell surface, Cytoplasmic
Applications Western Blot : 1-2ug/ml
Immunohistochemistry (FFPE) : 2-5ug/ml
Flow Cytometry : 1-3ug/million cells
Limitations This IL-2 receptor alpha antibody is available for research use only.
Review this product on BioCompare and get a $20 Amazon gift card

Related Products

Description

IL2RA (Interleukin 2 receptor, alpha), also called IL2R, IL2R, Alpha Chain or CD25, is a protein that in humans is encoded by the IL2RA gene. The IL2RA gene is mapped on 10p15.1. IL2RA is composed of strand-swapped sushi-like domains, unlike the classical cytokine receptor fold. As a result of this domain swap, IL2RA uses a composite surface to dock into a groove on IL2 that also serves as a binding site for antagonist drugs. Homodimeric alpha chains(IL2RA) result in low-affinity receptor, while homodimeric beta(IL2RB) chains produce a medium-affinity receptor. Normally an integral-membrane protein, soluble IL2RA has been isolated and determined to result from extracellular proteolyisis. Infection by the protozoan Trypanosoma cruzi causes Chagas disease, characterized by a reduction in the amount of IL2RA expressed on the surface of immune cells. This leads to chronic immune suppression, becoming increasingly severe over the course of many years and ultimately resulting in death if left untreated.

Application Notes

Optimal dilution of the IL-2 receptor alpha antibody should be determined by the researcher.

Immunogen

Amino acids PWKHEDSKRIYHFVE from the mouse protein were used as the immunogen for the IL-2 receptor alpha antibody.

Storage

After reconstitution, the IL-2 receptor alpha antibody can be stored for up to one month at 4oC. For long-term, aliquot and store at -20oC. Avoid repeated freezing and thawing.

Cross
Bulk Quote Request Form
Name*:
Organization*:
Email*:
Phone Number*:
Catalog No.*:
Comments and Specifics(amount, formulation, etc.)*:
Validation code: Captchapackage Image


Can't read the image? click here to refresh.
    *required field

Your bulk quote request has been submitted successfully!

Please contact us if you have any questions.