• Tel: 858.663.9055
  • SeparatorEmail: info@nsjbio.com
  • Tel: 858.663.9055
  • Email: info@nsjbio.com
Home >> Antibodies >> IL-1RA Antibody / Interleukin-1 Receptor Antagonist / IL1RN

IL-1RA Antibody / Interleukin-1 Receptor Antagonist / IL1RN [clone IL1RA/4712] (V4906)

  Catalog No Formulation Size Price (USD)  
Image V4906-100UG 0.2 mg/ml in 1X PBS with 0.1 mg/ml BSA (US sourced), 0.05% sodium azide 100 ug 539
Image
V4906-20UG 0.2 mg/ml in 1X PBS with 0.1 mg/ml BSA (US sourced), 0.05% sodium azide 20 ug 249
Image
V4906SAF-100UG 1 mg/ml in 1X PBS; BSA free, sodium azide free 100 ug 539
Microvalidated
Bulk quote request
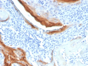
IHC staining of FFPE human tonsil tissue with IL-1RA antibody (clone IL1RA/4712). HIER: boil tissue sections in pH 9 10mM Tris with 1mM EDTA for 20 min and allow to cool before testing.
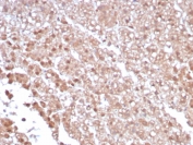
IHC staining of FFPE human adrenal gland tissue with IL-1RA antibody (clone IL1RA/4712). HIER: boil tissue sections in pH 9 10mM Tris with 1mM EDTA for 20 min and allow to cool before testing.
Analysis of a HuProt(TM) microarray containing more than 19,000 full-length human proteins using IL-1RA antibody (clone IL1RA/4712). Z- and S- Score: The Z-score represents the strength of a signal that a monoclonal antibody (in combination with a fluorescently-tagged anti-IgG secondary antibody) produces when binding to a particular protein on the HuProt(TM) array. Z-scores are described in units of standard deviations (SD's) above the mean value of all signals generated on that array. If targets on HuProt(TM) are arranged in descending order of the Z-score, the S-score is the difference (also in units of SD's) between the Z-score. S-score therefore represents the relative target specificity of a mAb to its intended target. A mAb is considered to specific to its intended target, if the mAb has an S-score of at least 2.5. For example, if a mAb binds to protein X with a Z-score of 43 and to protein Y with a Z-score of 14, then the S-score for the binding of that mAb to protein X is equal to 29.
SDS-PAGE analysis of purified, BSA-free IL-1RA antibody (clone IL1RA/4712) as confirmation of integrity and purity.
Availability 1-3 business days
Species Reactivity Human
Format Purified
Clonality Monoclonal (mouse origin)
Isotype Mouse IgG2, lambda
Clone Name IL1RA/4712
Purity Protein A/G affinity
UniProt P18510
Localization Cytoplasm, Secreted
Applications Immunohistochemistry (FFPE) : 1-2ug/ml for 30 min at RT
Limitations This IL-1RA antibody is available for research use only.
Review this product on BioCompare and get a $20 Amazon gift card

Description

Two forms of interleukin-1, designated IL-1a and IL-1beta, have been described. Although encoded by distinct genes and exhibiting roughly only 25% sequence identity, IL-1a and IL-1beta bind to the same receptor and seem to elicit similar biological responses. IL-1 production is generally thought to be associated with inflammation, but it has also been shown to be expressed during kidney development, thymocyte differentiation and cartilage degradation. IL-1 plays a critical role in the regulation of immune response and inflammation acting as an activator of T and B lymphocytes and natural killer (NK) cells. IL-1 receptor antagonist (IL-1ra) is a cytokine that inhibits IL-1a and IL-1beta binding to interleukin receptors. By neutralizing the activity of IL-1, IL-1ra contributes to the inhibition of the immune and inflammatory responses and has been targeted as a drug for the treatment of severely active rheumatoid arthritis. There are four isoforms of IL-1ra that are produced as a result of alternative splicing events.

Application Notes

Optimal dilution of the IL-1RA antibody should be determined by the researcher.

Immunogen

A recombinant partial protein sequence (within amino acids 1-200) from the human protein was used as the immunogen for the IL-1RA antibody.

Storage

Aliquot the IL-1RA antibody and store frozen at -20oC or colder. Avoid repeated freeze-thaw cycles.

Cross
Bulk Quote Request Form
Name*:
Organization*:
Email*:
Phone Number*:
Catalog No.*:
Comments and Specifics(amount, formulation, etc.)*:
Validation code: Captchapackage Image


Can't read the image? click here to refresh.
    *required field

Your bulk quote request has been submitted successfully!

Please contact us if you have any questions.