• Tel: 858.663.9055
  • SeparatorEmail: info@nsjbio.com
  • Tel: 858.663.9055
  • Email: info@nsjbio.com
Home >> Antibodies >> IL-13 Antibody

IL-13 Antibody (R32710)

  Catalog No Formulation Size Price (USD)  
Image R32710 0.5mg/ml if reconstituted with 0.2ml sterile DI water 100 ug 439
Bulk quote request
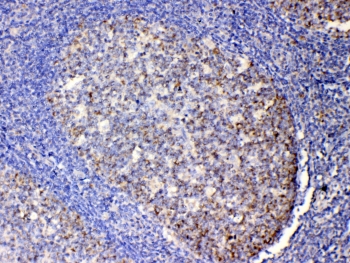
IHC testing of FFPE human tonsil tissue with IL-13 antibody at 1ug/ml. Required HIER: steam section in pH6 citrate buffer for 20 min and allow to cool prior to testing.
Western blot testing of human 1) HepG2 and 2) K562 cell lysate with IL-13 antibody at 0.5ug/ml. Predicted molecular weight: 13-16 kDa.
Availability 1-3 business days
Species Reactivity Human
Format Antigen affinity purified
Clonality Polyclonal (rabbit origin)
Isotype Rabbit IgG
Purity Antigen affinity
Buffer Lyophilized from 1X PBS with 2.5% BSA, 0.025% sodium azide
UniProt P35225
Localization Cytoplasmic, membranous, secreted
Applications Western Blot : 0.5-1ug/ml
Immunohistochemistry (FFPE) : 1-2ug/ml
Limitations This IL-13 antibody is available for research use only.
Review this product on BioCompare and get a $20 Amazon gift card

Related Products

  • Applications : WB
    Reactivity : Rat
  • Applications : WB
    Reactivity : Human
  • Applications : WB, IF, IHC, ELISA
    Reactivity : Human

Description

Interleukin 13 is a protein that in humans is encoded by the IL-13 gene. It is a kind of cytokine secreted by many cell types, but especially T helper type 2 (Th2) cells, which is an important mediator of allergic inflammation and disease. The IL-13 gene is mapped to 5q23-q31. IL-13 induces its effects through a multi-subunit receptor that includes the alpha chain of the IL-4 receptor (IL-4RA) and at least one of two known IL-13-specific binding chains. Furthermore, this gene acts more prominently as a molecular bridge linking allergic inflammatory cells to the non-immune cells in contact with them, thereby altering physiological function.

Application Notes

Optimal dilution of the IL-13 antibody should be determined by the researcher.

Immunogen

Amino acids P36-N146 from the human protein were used as the immunogen for the IL-13 antibody.

Storage

After reconstitution, the IL-13 antibody can be stored for up to one month at 4oC. For long-term, aliquot and store at -20oC. Avoid repeated freezing and thawing.

Cross
Bulk Quote Request Form
Name*:
Organization*:
Email*:
Phone Number*:
Catalog No.*:
Comments and Specifics(amount, formulation, etc.)*:
Validation code: Captchapackage Image


Can't read the image? click here to refresh.
    *required field

Your bulk quote request has been submitted successfully!

Please contact us if you have any questions.