- Tel: 858.663.9055
- 
									 Email: info@nsjbio.com Email: info@nsjbio.com
- Tel: 858.663.9055
- Email: info@nsjbio.com
 Email: info@nsjbio.com
Email: info@nsjbio.com
								Related Products
| 
 | 
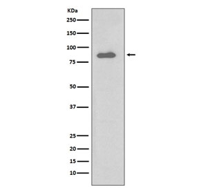
The CHUK gene encodes a member of the serine/threonine protein kinase family. The encoded protein, a component of a cytokine-activated protein complex that is an inhibitor of the essential transcription factor NF-kappa-B complex, phosphorylates sites that trigger the degradation of the inhibitor via the ubiquination pathway, thereby activating the transcription factor. [RefSeq]
Optimal dilution of the IKK alpha antibody should be determined by the researcher.
A synthetic peptide specific to human IKK alpha / CHUK was used as the immunogen for the IKK alpha antibody.
Store the IKK alpha antibody at -20oC.
 
Your bulk quote request has been submitted successfully!
Please contact us if you have any questions.