• Tel: 858.663.9055
  • SeparatorEmail: info@nsjbio.com
  • Tel: 858.663.9055
  • Email: info@nsjbio.com
Home >> Antibodies >> IGFBP1 Antibody

IGFBP1 Antibody (R32673)

  Catalog No Formulation Size Price (USD)  
Image R32673 0.5mg/ml if reconstituted with 0.2ml sterile DI water 100 ug 439
Bulk quote request
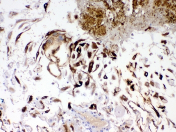
IHC testing of FFPE human placenta tissue with IGFBP1 antibody. Required HIER: steam section in pH8 EDTA buffer for 20 min and allow to cool prior to testing.
Western blot testing of human placenta tissue lysate with IGFBP1 antibody at 0.5ug/ml. Expected molecular weight: 28-35 kDa.
Western blot testing of human 1) HepG2 and 2) A549 cell lysate with IGFBP1 antibody at 0.5ug/ml. Expected molecular weight: 28-35 kDa.
Availability 1-3 business days
Species Reactivity Human
Format Antigen affinity purified
Clonality Polyclonal (rabbit origin)
Isotype Rabbit IgG
Purity Antigen affinity
Buffer Lyophilized from 1X PBS with 2% Trehalose and 0.025% sodium azide
UniProt P08833
Localization Cytoplasmic, secreted
Applications Western Blot : 0.5-1ug/ml
Immunohistochemistry (FFPE) : 2-5ug/ml
Limitations This IGFBP1 antibody is available for research use only.
Review this product on BioCompare and get a $20 Amazon gift card

Related Products

  • Applications : WB
    Reactivity : Human
  • Applications : WB, ELISA (peptide)
    Reactivity : Human
  • Applications : WB, ELISA (peptide)
    Reactivity : Human
  • Applications : WB, ELISA (protein)
    Reactivity : Mouse, Rat
  • Applications : WB
    Reactivity : Human
  • Applications : WB, IHC-P, ELISA (capture)
    Reactivity : Mouse, Rat

Description

IGFBP1, Insulin-like growth factor-binding protein 1, also known as placental protein 12 (PP12), is a protein that in humans is encoded by the IGFBP1 gene. The gene has 4 exons and spans 5.9 kb. And the IGFBP1 gene is localized to 7p13-p12 by in situ hybridization. This gene is a member of the Insulin-like growth factor-binding protein (IGFBP) family and encodes a protein with an IGFBP domain and a type-I thyroglobulin domain. The protein binds both insulin-like growth factors (IGFs) I and II and circulates in the plasma. Binding of this protein prolongs the half-life of the IGFs and alters their interaction with cell surface receptors. Alternate transcriptional splice variants, encoding different isoforms, have been characterized.

Application Notes

Optimal dilution of the IGFBP1 antibody should be determined by the researcher.

Immunogen

Amino acids A69-N259 from the human protein were used as the immunogen for the IGFBP1 antibody.

Storage

After reconstitution, the IGFBP1 antibody can be stored for up to one month at 4oC. For long-term, aliquot and store at -20oC. Avoid repeated freezing and thawing.

Cross
Bulk Quote Request Form
Name*:
Organization*:
Email*:
Phone Number*:
Catalog No.*:
Comments and Specifics(amount, formulation, etc.)*:
Validation code: Captchapackage Image


Can't read the image? click here to refresh.
    *required field

Your bulk quote request has been submitted successfully!

Please contact us if you have any questions.