• Tel: 858.663.9055
  • SeparatorEmail: info@nsjbio.com
  • Tel: 858.663.9055
  • Email: info@nsjbio.com
Home >> Antibodies >> Igf2r Antibody

Igf2r Antibody (RQ4576)

  Catalog No Formulation Size Price (USD)  
Image RQ4576 0.5mg/ml if reconstituted with 0.2ml sterile DI water 100 ug 439
Bulk quote request
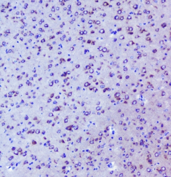
IHC staining of FFPE mouse brain with Igf2r antibody at 1ug/ml. HIER: boil tissue sections in pH6, 10mM citrate buffer, for 10-20 min followed by cooling at RT for 20 min.
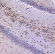
IHC staining of FFPE rat brain with Igf2r antibody at 1ug/ml. HIER: boil tissue sections in pH6, 10mM citrate buffer, for 10-20 min followed by cooling at RT for 20 min.
Western blot testing of mouse 1) brain, 2) lung, 3) NIH3T3 and rat 4) brain, 5) lung and 6) stomach lysate with Igf2r antibody at 0.5ug/ml. Predicted molecular weight ~274 kDa.
Availability 1-3 business days
Species Reactivity Mouse, Rat
Format Antigen affinity purified
Clonality Polyclonal (rabbit origin)
Isotype Rabbit IgG
Purity Antigen affinity purified
Buffer Lyophilized from 1X PBS with 2% Trehalose and 0.025% sodium azide
UniProt Q07113
Localization Cytoplasmic
Applications Western Blot : 0.5-1ug/ml
IHC (FFPE) : 1-2ug/ml
Limitations This Igf2r antibody is available for research use only.
Review this product on BioCompare and get a $20 Amazon gift card

Related Products

Description

Insulin-like growth factor 2 receptor, also called IGF2R or I-MPR is a protein that in humans is encoded by the IGF2R gene. This gene is mapped to 6q25.3. This gene encodes a receptor for both insulin-like growth factor 2 and mannose 6-phosphate, although the binding sites for either are located on different segments of the receptor. This receptor functions in the intracellular trafficking of lysosomal enzymes, the activation of transforming growth factor beta, and the degradation of insulin-like growth factor 2. While the related mouse gene shows exclusive expression from the maternal allele, imprinting of the human gene appears to be polymorphic, with only a minority of individuals showing expression from the maternal allele.

Application Notes

Optimal dilution of the Igf2r antibody should be determined by the researcher.

Immunogen

Amino acids EKARKGKFRPGQRKPTAPAKLVSFHDDSDEDLLH were used as the immunogen for the Igf2r antibody.

Storage

After reconstitution, the Igf2r antibody can be stored for up to one month at 4oC. For long-term, aliquot and store at -20oC. Avoid repeated freezing and thawing.

Cross
Bulk Quote Request Form
Name*:
Organization*:
Email*:
Phone Number*:
Catalog No.*:
Comments and Specifics(amount, formulation, etc.)*:
Validation code: Captchapackage Image


Can't read the image? click here to refresh.
    *required field

Your bulk quote request has been submitted successfully!

Please contact us if you have any questions.