• Tel: 858.663.9055
  • SeparatorEmail: info@nsjbio.com
  • Tel: 858.663.9055
  • Email: info@nsjbio.com
Home >> Antibodies >> IGF2R Antibody / M6PR

IGF2R Antibody / M6PR (R31304)

  Catalog No Formulation Size Price (USD)  
Image R31304 0.5mg/ml if reconstituted with 0.2ml sterile DI water 100 ug 439
Bulk quote request
Flow cytometry testing of fixed and permeabilized human HepG2 cells with IGF2R antibody at 1ug/million cells (blocked with goat sera); Red=cells alone, Green=isotype control, Blue= IGF2R antibody.
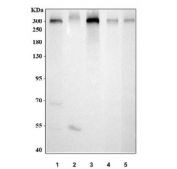
Western blot testing of 1) human HeLa, 2) human U-87 MG, 3) human HepG2, 4) rat PC-12 and 5) mouse NIH3T3 cell lysate with IGF2R antibody at 0.5ug/ml. Expected molecular weight ~274 kDa.
Availability 1-3 business days
Species Reactivity Human, Mouse, Rat
Format Antigen affinity purified
Clonality Polyclonal (rabbit origin)
Isotype Rabbit IgG
Purity Antigen affinity
Buffer Lyophilized from 1X PBS with 2% Trehalose
UniProt P11717
Applications Western Blot : 0.5-1ug/ml
Flow Cytometry : 1-3ug/million cells
Limitations This IGF2R antibody is available for research use only.
Review this product on BioCompare and get a $20 Amazon gift card

Related Products

Description

Insulin-like growth factor 2 receptor, also called Mannose 6 phosphate receptor (M6PR), is a protein that in humans is encoded by the IGF2R gene. This gene is mapped to 6q25.3. This gene encodes a receptor for both insulin-like growth factor 2 and mannose 6-phosphate, although the binding sites for either are located on different segments of the receptor. This receptor functions in the intracellular trafficking of lysosomal enzymes, the activation of transforming growth factor beta, and the degradation of insulin-like growth factor 2. While the related mouse gene shows exclusive expression from the maternal allele, imprinting of the human gene appears to be polymorphic, with only a minority of individuals showing expression from the maternal allele.

Application Notes

The stated application concentrations are suggested starting amounts. Titration of the IGF2R antibody may be required due to differences in protocols and secondary/substrate sensitivity.

Immunogen

An amino acid sequence from the C-terminus of human Mannose 6 Phosphate Receptor/Insulin like Growth Factor 2 Receptor (TKLVSFHDDSDEDLLHI) was used as the immunogen for this M6PR / IGF2R antibody.

Storage

After reconstitution, the IGF2R antibody can be stored for up to one month at 4oC. For long-term, aliquot and store at -20oC. Avoid repeated freezing and thawing.

Cross
Bulk Quote Request Form
Name*:
Organization*:
Email*:
Phone Number*:
Catalog No.*:
Comments and Specifics(amount, formulation, etc.)*:
Validation code: Captchapackage Image


Can't read the image? click here to refresh.
    *required field

Your bulk quote request has been submitted successfully!

Please contact us if you have any questions.