• Tel: 858.663.9055
  • SeparatorEmail: info@nsjbio.com
  • Tel: 858.663.9055
  • Email: info@nsjbio.com
Home >> Antibodies >> IGF1R Antibody / Insulin like growth factor 1 receptor

IGF1R Antibody / Insulin like growth factor 1 receptor [clone IGF1R/4667] (V8864)

  Catalog No Formulation Size Price (USD)  
Image V8864-100UG 0.2 mg/ml in 1X PBS with 0.1 mg/ml BSA (US sourced), 0.05% sodium azide 100 ug 539
Image
V8864-20UG 0.2 mg/ml in 1X PBS with 0.1 mg/ml BSA (US sourced), 0.05% sodium azide 20 ug 249
Image
V8864SAF-100UG 1 mg/ml in 1X PBS; BSA free, sodium azide free 100 ug 539
Microvalidated
Bulk quote request
IHC staining of FFPE human prostate carcinoma tissue with IGF1R antibody (clone IGF1R/4667). HIER: boil tissue sections in pH 9 10mM Tris with 1mM EDTA for 20 min and allow to cool before testing.
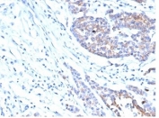
IHC staining of FFPE human breast carcinoma tissue with IGF1R antibody (clone IGF1R/4667). HIER: boil tissue sections in pH 9 10mM Tris with 1mM EDTA for 20 min and allow to cool before testing.
IHC staining of FFPE human colon carcinoma tissue with IGF1R antibody (clone IGF1R/4667). HIER: boil tissue sections in pH 9 10mM Tris with 1mM EDTA for 20 min and allow to cool before testing.
SDS-PAGE analysis of purified, BSA-free IGF1R antibody (clone IGF1R/4667) as confirmation of integrity and purity.
Analysis of HuProt(TM) microarray containing more than 19,000 full-length human proteins using IGF1R antibody (clone IGF1R/4667). These results demonstrate the foremost specificity of the IGF1R/4667 mAb. Z- and S- score: The Z-score represents the strength of a signal that an antibody (in combination with a fluorescently-tagged anti-IgG secondary Ab) produces when binding to a particular protein on the HuProt(TM) array. Z-scores are described in units of standard deviations (SD's) above the mean value of all signals generated on that array. If the targets on the HuProt(TM) are arranged in descending order of the Z-score, the S-score is the difference (also in units of SD's) between the Z-scores. The S-score therefore represents the relative target specificity of an Ab to its intended target.
Availability 1-3 business days
Species Reactivity Human
Format Purified
Clonality Monoclonal (mouse origin)
Isotype Mouse IgG2c, kappa
Clone Name IGF1R/4667
Purity Protein A/G affinity
UniProt P08069
Localization Cell membrane, cytoplasmic
Applications Immunohistochemistry (FFPE) : 1-2ug/ml
Limitations This IGF1R antibody is available for research use only.
Review this product on BioCompare and get a $20 Amazon gift card

Related Products

Description

Receptor tyrosine kinases (RTKs) are transmembrane molecular scaffolds that influence cellular processes including the cell cycle, cell migration, cell metabolism, cell survival, proliferation and differentiation. Insulin-like growth factor-I receptor (IGF-IR) is an RTK that stimulates growth in many different cell types, blocks apoptosis, acts as an intermediate of many growth hormone responses and may stimulate the growth of some types of cancer. The IGF-IR cognate ligand Insulin-like growth factor-I (IGF-I) promotes association of IGF-IR with Shc, GRB2 and Sos 1, which initiates Ras and ERK kinase cascades, thereby modifying transcription factor activity, such as activation of the Elk transcription factors. The modular phosphotyrosine binding (PTB) domains of Insulin receptor substrate (IRS)-1 and -2 can associate with active IGF-IR and initiate phosphatidylinositol 3-kinase-dependent downstream signals. The human IGF-IR gene maps to chromosome 15q26.3 and encodes a 1,376 amino acid precursor protein that cleaves into subunits. The human IGF-IIR gene maps to chromosome 6q26 and encodes a 2,491 amino acid transmembrane protein.

Application Notes

Optimal dilution of the IGF1R antibody should be determined by the researcher.

Immunogen

A portion of amino acids 550-750 was used as the immunogen for the IGF1R antibody.

Storage

Aliquot the IGF1R antibody and store frozen at -20oC or colder. Avoid repeated freeze-thaw cycles.

Cross
Bulk Quote Request Form
Name*:
Organization*:
Email*:
Phone Number*:
Catalog No.*:
Comments and Specifics(amount, formulation, etc.)*:
Validation code: Captchapackage Image


Can't read the image? click here to refresh.
    *required field

Your bulk quote request has been submitted successfully!

Please contact us if you have any questions.