• Tel: 858.663.9055
  • SeparatorEmail: info@nsjbio.com
  • Tel: 858.663.9055
  • Email: info@nsjbio.com
Home >> Antibodies >> IGF1R Antibody / IGF1 Receptor

IGF1R Antibody / IGF1 Receptor (R32816)

  Catalog No Formulation Size Price (USD)  
Image R32816 0.5mg/ml if reconstituted with 0.2ml sterile DI water 100 ug 439
Bulk quote request
Western blot testing of mouse liver lysate with IGF1R antibody at 0.5ug/ml. Expected molecular weight (glycosylated): ~200 kDa (pro-form), 130-135 kDa (alpha chain).
IHC testing of FFPE mouse small intestine tissue with IGF1R antibody at 1ug/ml. Required HIER: steam section in pH6 citrate buffer for 20 min and allow to cool prior to testing.
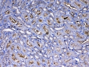
IHC testing of FFPE mouse kidney tissue with IGF1R antibody at 1ug/ml. Required HIER: steam section in pH6 citrate buffer for 20 min and allow to cool prior to testing.
Availability 1-3 business days
Species Reactivity Mouse, Rat
Format Antigen affinity purified
Clonality Polyclonal (rabbit origin)
Isotype Rabbit IgG
Purity Antigen affinity
Buffer Lyophilized from 1X PBS with 2.5% BSA, 0.025% sodium azide
UniProt Q60751
Localization Cytoplasmic, cell membrane
Applications Western Blot : 0.5-1ug/ml
IHC (FFPE) : 1-2ug/ml
Direct ELISA (recombinant Mouse Protein) : 0.1-0.5ug/ml (BSA-free formulation available)
Limitations This IGF1R antibody is available for research use only.
Review this product on BioCompare and get a $20 Amazon gift card

Related Products

Description

IGF1R (Insulin-like Growth Factor 1 (IGF-1) Receptor) is a protein found on the surface of human cells. It is a transmembrane receptor that is activated by a hormone called Insulin-like growth factor 1 (IGF-1) and by a related hormone called IGF-2. It belongs to the large class of tyrosine kinase receptors. The IGF1R gene is mapped on 15q26.3. IGF-1 plays an important role in growth and continues to have anabolic effects in adults - meaning that it can induce hypertrophy of skeletal muscle and other target tissues. Using a yeast 2-hybrid system, it was identified a regulatory subunit of phosphatidylinositol (PI) 3-kinase, PIK3R3, as a binding partner of IGF1R. Functional interaction between BRCA1 and SP1 in the regulation of the IGF1R gene was studied in Schneider cells, a Drosophila cell line which lacks endogenous SP1. In these cells, BRCA1 suppressed 45% of the SP1-induced trans-activation of the IGF1R promoter. Overexpression of the Grb10-binding fragment of Gigyf1 resulted in a significant increase in Igf1-stimulated Igf1r tyrosine phosphorylation. Like the insulin receptor, the IGF-1 receptor is a receptor tyrosine kinase - meaning it signals by causing the addition of a phosphate molecule on particular tyrosines. IGF-1 activates the Insulin receptor at approximately 0.1x the potency of insulin. Part of this signaling may be via IGF1R-InsulinReceptor heterodimers.

Application Notes

Optimal dilution of the IGF1R antibody should be determined by the researcher.

Immunogen

A recombinant mouse protein corresponding to amino acids E31-K257 (alpha chain) was used as the immunogen for the IGF1R antibody.

Storage

After reconstitution, the IGF1R antibody can be stored for up to one month at 4oC. For long-term, aliquot and store at -20oC. Avoid repeated freezing and thawing.

Cross
Bulk Quote Request Form
Name*:
Organization*:
Email*:
Phone Number*:
Catalog No.*:
Comments and Specifics(amount, formulation, etc.)*:
Validation code: Captchapackage Image


Can't read the image? click here to refresh.
    *required field

Your bulk quote request has been submitted successfully!

Please contact us if you have any questions.