• Tel: 858.663.9055
  • SeparatorEmail: info@nsjbio.com
  • Tel: 858.663.9055
  • Email: info@nsjbio.com
Home >> Antibodies >> IGF1 Antibody

IGF1 Antibody (R35781)

  Catalog No Formulation Size Price (USD)  
Image R35781-100UG 0.5 mg/ml in 1X TBS, pH7.3, with 0.5% BSA (US sourced) and 0.02% sodium azide 100 ug 449
Bulk quote request
Western blot testing of human uterus lysate with IGF1 antibody at 0.5ug/ml. Predicted molecular weight ~15 kDa.
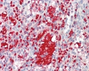
IHC testing of FFPE human spleen tissue with IGF1 antibody at 3.75ug/ml. HIER: steamed antigen retrieval with pH6 citrate buffer; AP-staining.
Availability 1-3 business days
Species Reactivity Human
Format Antigen affinity purified
Clonality Polyclonal (goat origin)
Isotype Goat Ig
Purity Antigen affinity
Gene ID 3479
Localization Cytoplasmic, secreted
Applications Western Blot : 0.5-2ug/ml
IHC (FFPE) : 3-6ug/ml
ELISA (peptide) LOD : 1:32000
Limitations This IGF1 antibody is available for research use only.
Review this product on BioCompare and get a $20 Amazon gift card

Related Products

Description

Additional name(s) for this target protein: Insulin-like growth factor 1

Application Notes

Optimal dilution of the IGF1 antibody should be determined by the researcher.

Immunogen

Amino acids RSVRAQRHTD were used as the immunogen for this IGF1 antibody.

Storage

Aliquot and store the IGF1 antibody at -20oC.

Cross
Bulk Quote Request Form
Name*:
Organization*:
Email*:
Phone Number*:
Catalog No.*:
Comments and Specifics(amount, formulation, etc.)*:
Validation code: Captchapackage Image


Can't read the image? click here to refresh.
    *required field

Your bulk quote request has been submitted successfully!

Please contact us if you have any questions.