• Tel: 858.663.9055
  • SeparatorEmail: info@nsjbio.com
  • Tel: 858.663.9055
  • Email: info@nsjbio.com
Home >> Antibodies >> IgD Antibody / Heavy chain

IgD Antibody / Heavy chain [clone IGHD/2730R] (V4322)

  Catalog No Formulation Size Price (USD)  
Image V4322-100UG 0.2 mg/ml in 1X PBS with 0.1 mg/ml BSA (US sourced), 0.05% sodium azide 100 ug 539
Image
V4322-20UG 0.2 mg/ml in 1X PBS with 0.1 mg/ml BSA (US sourced), 0.05% sodium azide 20 ug 249
Image
V4322SAF-100UG 1 mg/ml in 1X PBS; BSA free, sodium azide free 100 ug 539
Microvalidated Recrabbitmono
Bulk quote request
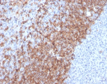
IHC staining of FFPE human tonsil tissue with IgD antibody (clone IGHD/2730R). HIER: boil tissue sections in pH 9 10mM Tris with 1mM EDTA for 20 min and allow to cool before testing.
SDS-PAGE analysis of purified, BSA-free IgD antibody (clone IGHD/2730R) as confirmation of integrity and purity.
Availability 1-3 business days
Species Reactivity Human
Format Purified
Clonality Recombinant Rabbit Monoclonal
Isotype Rabbit IgG, kappa
Clone Name IGHD/2730R
Purity Protein A/G affinity
UniProt P01880
Localization Cytoplasm
Applications Immunohistochemistry (FFPE) : 1-2ug/ml for 30 minutes at RT
Limitations This IgD antibody is available for research use only.
Review this product on BioCompare and get a $20 Amazon gift card

Related Products

Description

Immunoglobulins are four-chain, Y-shaped, monomeric structures comprised of two identical heavy chains and two identical light chains held together through interchain disulfide bonds. The chains form two domains, the Fab (antigen binding) fragment and the Fc (constant) fragment. Immunoglobulin D (IgD) exists as a monomer with delta heavy chains and either kappa or lambda light chains. It plays a biological role as a transmembrane receptor molecule, co-expressed with IgM on the surface of mature/naive B cells. In particular, it is found on spleen B cell surfaces. Compared to IgM, IgD exists in much lower numbers and is not expressed on immature B cells. IgD surface expression on B cells is regulated in part by IL-27. In mice, the inhibition of this immunoglobulin isotype does not cause a significant change to the immune system.

Application Notes

Optimal dilution of the IgD antibody should be determined by the researcher.

Immunogen

Recombinant full-length human IGHD protein was used as the immunogen for the IgD antibody.

Storage

Aliquot the IgD antibody and store frozen at -20oC or colder. Avoid repeated freeze-thaw cycles.

Cross
Bulk Quote Request Form
Name*:
Organization*:
Email*:
Phone Number*:
Catalog No.*:
Comments and Specifics(amount, formulation, etc.)*:
Validation code: Captchapackage Image


Can't read the image? click here to refresh.
    *required field

Your bulk quote request has been submitted successfully!

Please contact us if you have any questions.