• Tel: 858.663.9055
  • SeparatorEmail: info@nsjbio.com
  • Tel: 858.663.9055
  • Email: info@nsjbio.com
Home >> Antibodies >> IFT88 Antibody

IFT88 Antibody (RQ5982)

  Catalog No Formulation Size Price (USD)  
Image RQ5982 0.5mg/ml if reconstituted with 0.2ml sterile DI water 100 ug 439
Bulk quote request
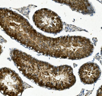
IHC staining of FFPE mouse testis with IFT88 antibody. HIER: boil tissue sections in pH8 EDTA for 20 min and allow to cool before testing.
IHC staining of FFPE human renal cancer with IFT88 antibody. HIER: boil tissue sections in pH8 EDTA for 20 min and allow to cool before testing.
IHC staining of FFPE rat testis with IFT88 antibody. HIER: boil tissue sections in pH8 EDTA for 20 min and allow to cool before testing.
Immunofluorescent staining of FFPE human U-2 OS cells with IFT88 antibody (green) and DAPI nuclear stain (blue). HIER: steam section in pH6 citrate buffer for 20 min.
Western blot testing of 1) rat testis and 2) mouse testis lysate with IFT88 antibody. Predicted molecular weight ~94 kDa.
Flow cytometry testing of human ThP-1 cells with IFT88 antibody at 1ug/million cells (blocked with goat sera); Red=cells alone, Green=isotype control, Blue= IFT88 antibody.
Availability 1-3 business days
Species Reactivity Human, Mouse, Rat
Format Antigen affinity purified
Clonality Polyclonal (rabbit origin)
Isotype Rabbit IgG
Purity Affinity purified
Buffer Lyophilized from 1X PBS with 2% Trehalose and 0.025% sodium azide
UniProt Q13099
Localization Cytoplasmic
Applications Western Blot : 0.5-1ug/ml
Immunohistochemistry : 1-2ug/ml
Immunofluorescence : 2-4ug/ml
Flow Cytometry : 1-3ug/million cells
Direct ELISA : 0.1-0.5ug/ml
Limitations This IFT88 antibody is available for research use only.
Review this product on BioCompare and get a $20 Amazon gift card

Related Products

Description

Intraflagellar transport protein 88 homolog is a protein that in humans is encoded by the IFT88 gene. It is mapped to 13q12.11. This gene encodes a member of the tetratrico peptide repeat (TPR) family. The encoded protein is involved in cilium biogenesis. Mutations of a similar gene in mouse can cause polycystic kidney disease. Several transcript variants encoding distinct isoforms have been identified for this gene.

Application Notes

Optimal dilution of the IFT88 antibody should be determined by the researcher.

Immunogen

Recombinant human protein (amino acids E198-K814) was used as the immunogen for the IFT88 antibody.

Storage

After reconstitution, the IFT88 antibody can be stored for up to one month at 4oC. For long-term, aliquot and store at -20oC. Avoid repeated freezing and thawing.

Cross
Bulk Quote Request Form
Name*:
Organization*:
Email*:
Phone Number*:
Catalog No.*:
Comments and Specifics(amount, formulation, etc.)*:
Validation code: Captchapackage Image


Can't read the image? click here to refresh.
    *required field

Your bulk quote request has been submitted successfully!

Please contact us if you have any questions.