• Tel: 858.663.9055
  • SeparatorEmail: info@nsjbio.com
  • Tel: 858.663.9055
  • Email: info@nsjbio.com
Home >> Antibodies >> Ifng Antibody / Ifn gamma

Ifng Antibody / Ifn gamma (FY12212)

  Catalog No Formulation Size Price (USD)  
Image FY12212 Adding 0.2 ml of distilled water will yield a concentration of 500 ug/ml 100 ug 439
Bulk quote request
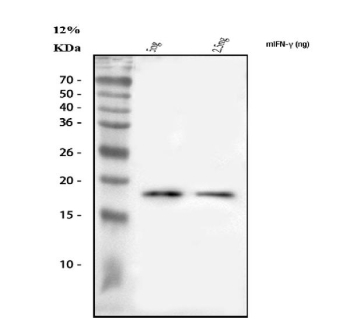
Western blot analysis of IFN Gamma/Ifng using anti-Ifng antibody. Lane 1: recombinant mouse Ifng protein 5 ng, Lane 1: recombinant mouse Ifng protein 2.5 ng. After electrophoresis, proteins were transferred to a nitrocellulose membrane at 150 mA for 50-90 minutes. Blocked the membrane with 5% non-fat milk/TBS for 1.5 hour at RT. The membrane was incubated with rabbit anti-Ifng antibody at 0.5 ug/ml overnight at 4oC, then washed with TBS-0.1%Tween 3 times with 5 minutes each and probed with a goat anti-rabbit IgG-HRP secondary antibody at a dilution of 1:5000 for 1.5 hour at RT. The signal was developed using enhanced chemiluminescent.
Availability 1-2 days
Species Reactivity Mouse
Format Lyophilized
Clonality Polyclonal (rabbit origin)
Isotype Rabbit IgG
Purity Immunogen affinity purified
Buffer Each vial contains 4 mg Trehalose, 0.9 mg NaCl, 0.2 mg Na2HPO4.
UniProt P01580
Applications Western Blot : 0.25-0.5ug/ml
ELISA : 0.1-0.5ug/ml
Limitations This Ifng antibody is available for research use only.
Review this product on BioCompare and get a $20 Amazon gift card

Description

IFNG antibody detects Interferon gamma, encoded by the IFNG gene on chromosome 12q15. IFNG antibody is widely used in immunology research to study cytokine biology, host defense, and inflammation. Interferon gamma (IFN g) is a type II interferon produced primarily by activated T lymphocytes and natural killer (NK) cells. It functions as a pleiotropic cytokine coordinating innate and adaptive immune responses. IFN g induces expression of hundreds of genes involved in antigen presentation, macrophage activation, and antiviral defense.

Structurally, IFN g is a homodimeric glycoprotein of ~17 kDa per subunit, belonging to the class II cytokine family. It signals through the interferon gamma receptor (IFNGR1/IFNGR2 complex), activating the JAK-STAT pathway. STAT1 phosphorylation leads to transcription of interferon-stimulated genes that mediate antimicrobial and immune regulatory functions.

Functionally, IFN g activates macrophages to enhance phagocytosis and production of reactive oxygen/nitrogen species, boosts antigen presentation by inducing MHC class I and II, and shapes adaptive immunity by promoting Th1 differentiation. It also enhances NK and cytotoxic T cell activity. IFN g deficiency results in severe susceptibility to mycobacterial and viral infections. Researchers use IFNG antibody to study cytokine signaling, immune activation, and host defense mechanisms.

Clinically, IFN g is implicated in infection, autoimmunity, and cancer. Mutations in IFNG or its receptor cause Mendelian susceptibility to mycobacterial disease. Elevated IFN g contributes to autoimmunity, including rheumatoid arthritis and lupus, where it drives chronic inflammation. IFN g also has roles in tumor immunology, promoting antigen presentation but sometimes contributing to immune evasion. Recombinant IFN g is used therapeutically for chronic granulomatous disease and osteopetrosis. NSJ Bioreagents supplies IFNG antibody for immunology, infectious disease, and oncology research.

Experimentally, IFNG antibody is used in ELISA to quantify secreted cytokine, in western blotting to detect the ~17 kDa monomer, in immunohistochemistry to assess tissue cytokine levels, and in flow cytometry to measure intracellular production in T cells and NK cells.

Application Notes

Optimal dilution of the Ifng antibody should be determined by the researcher.

Immunogen

E.coli-derived mouse IFN Gamma/Ifng recombinant protein (Position: H23-C155) was used as the immunogen for the Ifng antibody.

Storage

After reconstitution, the Ifng antibody can be stored for up to one month at 4oC. For long-term, aliquot and store at -20oC. Avoid repeated freezing and thawing.

Cross
Bulk Quote Request Form
Name*:
Organization*:
Email*:
Phone Number*:
Catalog No.*:
Comments and Specifics(amount, formulation, etc.)*:
Validation code: Captchapackage Image


Can't read the image? click here to refresh.
    *required field

Your bulk quote request has been submitted successfully!

Please contact us if you have any questions.