• Tel: 858.663.9055
  • SeparatorEmail: info@nsjbio.com
  • Tel: 858.663.9055
  • Email: info@nsjbio.com
Home >> Antibodies >> IFITM3 Antibody / Interferon-inducible protein

IFITM3 Antibody / Interferon-inducible protein (F54274)

  Catalog No Formulation Size Price (USD)  
Image F54274-0.4ML In 1X PBS, pH 7.4, with 0.09% sodium azide 0.4 ml 429
Image
F54274-0.08ML In 1X PBS, pH 7.4, with 0.09% sodium azide 0.08 ml 199
Bulk quote request
Western blot testing of human 1) HeLa, 2) 293, 3) A549, 4) NCI-H460, 5) HepG2, 6) SK-B-R3 and 7) A375 cell lysate with IFITM3 antibody. Predicted molecular weight: ~15/17 kDa (unmodified/lipidated).
Western blot testing of human 1) HeLa, 2) 293, 3) HepG2, 4) NCI-H460, 5) SK-B-R3, 6) placent and 7) mouse colon lysate with IFITM3 antibody. Predicted molecular weight: ~15/17 kDa (unmodified/lipidated).
IHC testing of FFPE human spleen tissue with IFITM3 antibody. HIER: steam section in pH6 citrate buffer for 20 min and allow to cool prior to staining.
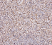
IHC testing of FFPE human colon carcinoma tissue with IFITM3 antibody. HIER: steam section in pH6 citrate buffer for 20 min and allow to cool prior to staining.
Immunofluorescent staining of fixed and permeabilized human HeLa cells with IFITM3 antibody (green), DAPI nuclear stain (blue) and anti-Actin (red).
Western blot testing of human HT-1080 cell lysate with IFITM3 antibody. Predicted molecular weight: ~15/17 kDa (unmodified/lipidated).
Availability 1-3 business days
Species Reactivity Human, Mouse
Format Purified
Clonality Polyclonal (rabbit origin)
Isotype Rabbit Ig
Purity Antigen affinity purified
UniProt Q01628
Localization Cytoplasmic
Applications Western Blot : 1:500-1:2000
Immunohistochemistry (FFPE) : 1:25
Immunofluorescence : 1:25
Limitations This IFITM3 antibody is available for research use only.
Review this product on BioCompare and get a $20 Amazon gift card

Related Products

  • Applications : WB, ELISA (peptide)
    Reactivity : Human
  • Applications : WB, ELISA (peptide)
    Reactivity : Human

Description

The family of interferon-induced transmembrane protein (Ifitm/mil/fragilis) cell surface proteins may modulate cell adhesion and influence cell differentiation.

Application Notes

The stated application concentrations are suggested starting points. Titration of the IFITM3 antibody may be required due to differences in protocols and secondary/substrate sensitivity.

Immunogen

A portion of amino acids 1-30 from the human protein were used as the immunogen for the IFITM3 protein Antibody.

Storage

Aliquot the IFITM3 antibody and store frozen at -20oC or colder. Avoid repeated freeze-thaw cycles.

Cross
Bulk Quote Request Form
Name*:
Organization*:
Email*:
Phone Number*:
Catalog No.*:
Comments and Specifics(amount, formulation, etc.)*:
Validation code: Captchapackage Image


Can't read the image? click here to refresh.
    *required field

Your bulk quote request has been submitted successfully!

Please contact us if you have any questions.