• Tel: 858.663.9055
  • SeparatorEmail: info@nsjbio.com
  • Tel: 858.663.9055
  • Email: info@nsjbio.com
Home >> Antibodies >> Ifi30 Antibody / Gilt

Ifi30 Antibody / Gilt (RQ6098)

  Catalog No Formulation Size Price (USD)  
Image RQ6098 0.5mg/ml if reconstituted with 0.2ml sterile DI water 100 ug 439
Bulk quote request
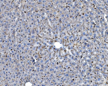
IHC staining of FFPE mouse liver with Ifi30 antibody. HIER: boil tissue sections in pH8 EDTA for 20 min and allow to cool before testing.
IHC staining of FFPE mouse spleen with Ifi30 antibody. HIER: boil tissue sections in pH8 EDTA for 20 min and allow to cool before testing.
IHC staining of FFPE rat liver with Ifi30 antibody. HIER: boil tissue sections in pH8 EDTA for 20 min and allow to cool before testing.
Western blot testing of mouse 1) spleen, 2) thymus, 3) RAW264.7, 4) mouse ANA-1, 5) rat spleen and 6) rat thymus lysate with Ifi30 antibody. Expected molecular weight: 33-35 kDa (pro form), 25-30 kDa (mature form), 50-60 kDa (homodimer).
Flow cytometry testing of mouse HEPA1-6 cells with Ifi30 antibody at 1ug/million cells (blocked with goat sera); Red=cells alone, Green=isotype control, Blue= Ifi30 antibody.
Availability 1-3 business days
Species Reactivity Mouse, Rat
Format Antigen affinity purified
Clonality Polyclonal (rabbit origin)
Isotype Rabbit IgG
Purity Affinity purified
Buffer Lyophilized from 1X PBS with 2% Trehalose and 0.025% sodium azide
UniProt Q9ESY9
Applications Western Blot : 1-2ug/ml
Immunohistochemistry (FFPE) : 2-5ug/ml
Flow Cytometry : 1-3ug/million cells
Direct ELISA : 0.1-0.5ug/ml
Limitations This Ifi30 antibody is available for research use only.
Review this product on BioCompare and get a $20 Amazon gift card

Related Products

Description

Gamma-interferon-inducible lysosomal thiol reductase is an enzyme that, in humans, is encoded by the IFI30 gene. The protein encoded by this gene is a lysosomal thiol reductase that at low pH can reduce protein disulfide bonds. The enzyme is expressed constitutively in antigen-presenting cells and induced by gamma-interferon in other cell types. This enzyme has an important role in MHC class II-restricted antigen processing.

Application Notes

Optimal dilution of the Ifi30 antibody should be determined by the researcher.

Immunogen

A mouse recombinant partial protein (amino acids A32-K248) was used as the immunogen for the Ifi30 antibody.

Storage

After reconstitution, the Ifi30 antibody can be stored for up to one month at 4oC. For long-term, aliquot and store at -20oC. Avoid repeated freezing and thawing.

Cross
Bulk Quote Request Form
Name*:
Organization*:
Email*:
Phone Number*:
Catalog No.*:
Comments and Specifics(amount, formulation, etc.)*:
Validation code: Captchapackage Image


Can't read the image? click here to refresh.
    *required field

Your bulk quote request has been submitted successfully!

Please contact us if you have any questions.