• Tel: 858.663.9055
  • SeparatorEmail: info@nsjbio.com
  • Tel: 858.663.9055
  • Email: info@nsjbio.com
Home >> Antibodies >> IDUA Antibody / Alpha-L-iduronidase

IDUA Antibody / Alpha-L-iduronidase (F54246)

  Catalog No Formulation Size Price (USD)  
Image F54246-0.4ML In 1X PBS, pH 7.4, with 0.09% sodium azide 0.4 ml 429
Image
F54246-0.08ML In 1X PBS, pH 7.4, with 0.09% sodium azide 0.08 ml 199
Bulk quote request
Western blot testing of human 1) liver and 2) lung lysate with IDUA antibody. Expected molecular weight: 74-85 kDa.
Western blot testing of 1) human A549 and 2) rat lung lysate with IDUA antibody. Expected molecular weight: 74-85 kDa.
Western blot testing of human HeLa cell lysate with IDUA antibody. Expected molecular weight: 74-85 kDa.
Flow cytometry testing of fixed and permeabilized human HepG2 cells with IDUA antibody; Blue=isotype control, Red= IDUA antibody.
Flow cytometry testing of fixed and permeabilized human HeLa cells with IDUA antibody; Blue=isotype control, Green= IDUA antibody.
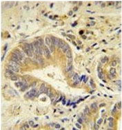
IHC testing of FFPE human colon carcinoma with IDUA antibody. HIER: steam section in pH6 citrate buffer for 20 min and allow to cool prior to staining.
Availability 1-3 business days
Species Reactivity Human
Format Purified
Clonality Polyclonal (rabbit origin)
Isotype Rabbit Ig
Purity Antigen affinity purified
UniProt P35475
Gene ID 3425
Localization Cytoplasmic
Applications Western Blot : 1:1000-1:2000
Immunohistochemistry (FFPE) : 1:50-1:100
Flow Cytometry : 1:25 (1x10e6 cells)
Limitations This IDUA antibody is available for research use only.
Review this product on BioCompare and get a $20 Amazon gift card

Related Products

Description

IDUA encodes an enzyme that hydrolyzes the terminal alpha-L-iduronic acid residues of two glycosaminoglycans, dermatan sulfate and heparan sulfate. This hydrolysis is required for the lysosomal degradation of these glycosaminoglycans.

Application Notes

The stated application concentrations are suggested starting points. Titration of the IDUA antibody may be required due to differences in protocols and secondary/substrate sensitivity.

Immunogen

A portion of amino acids 236-264 from the human protein were used as the immunogen for the IDUA antibody.

Storage

Aliquot the IDUA antibody and store frozen at -20oC or colder. Avoid repeated freeze-thaw cycles.

Cross
Bulk Quote Request Form
Name*:
Organization*:
Email*:
Phone Number*:
Catalog No.*:
Comments and Specifics(amount, formulation, etc.)*:
Validation code: Captchapackage Image


Can't read the image? click here to refresh.
    *required field

Your bulk quote request has been submitted successfully!

Please contact us if you have any questions.