• Tel: 858.663.9055
  • SeparatorEmail: info@nsjbio.com
  • Tel: 858.663.9055
  • Email: info@nsjbio.com
Home >> Antibodies >> IDE Antibody

IDE Antibody (F54376)

  Catalog No Formulation Size Price (USD)  
Image F54376-0.4ML In 1X PBS, pH 7.4, with 0.09% sodium azide 0.4 ml 429
Image
F54376-0.08ML In 1X PBS, pH 7.4, with 0.09% sodium azide 0.08 ml 199
Bulk quote request
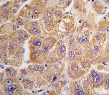
IHC testing of FFPE human hepatocellular carcinoma tissue with IDE antibody. HIER: steam section in pH6 citrate buffer for 20 min and allow to cool prior to staining.
Western blot testing of human 1) HeLa, 2) HepG2, 3) A375, 4) K562 and 5) mouse liver lysate with IDE antibody. Predicted molecular weight ~118 kDa.
Availability 1-3 business days
Species Reactivity Human, Mouse
Format Purified
Clonality Polyclonal (rabbit origin)
Isotype Rabbit Ig
Purity SAS precipitation
UniProt P14735
Applications Western Blot : 1:500-1:2000
Immunohistochemistry (FFPE) : 1:25
Limitations This IDE antibody is available for research use only.
Review this product on BioCompare and get a $20 Amazon gift card

Related Products

Description

IDE belongs to a protease family responsible for intercellular peptide signalling. Though its role in the cellular processing of insulin has not yet been defined, insulin-degrading enzyme is thought to be involved in the termination of the insulin response.

Application Notes

The stated application concentrations are suggested starting points. Titration of the IDE antibody may be required due to differences in protocols and secondary/substrate sensitivity.

Immunogen

A portion of amino acids 406-435 from the human protein was used as the immunogen for the IDE antibody.

Storage

Aliquot the IDE antibody and store frozen at -20oC or colder. Avoid repeated freeze-thaw cycles.

Cross
Bulk Quote Request Form
Name*:
Organization*:
Email*:
Phone Number*:
Catalog No.*:
Comments and Specifics(amount, formulation, etc.)*:
Validation code: Captchapackage Image


Can't read the image? click here to refresh.
    *required field

Your bulk quote request has been submitted successfully!

Please contact us if you have any questions.