• Tel: 858.663.9055
  • SeparatorEmail: info@nsjbio.com
  • Tel: 858.663.9055
  • Email: info@nsjbio.com
Home >> Antibodies >> ICOSLG Antibody / ICOS Ligand / B7RP-1

ICOSLG Antibody / ICOS Ligand / B7RP-1 [clone ICOSL/3111] (V7578)

  Catalog No Formulation Size Price (USD)  
Image V7578-100UG 0.2 mg/ml in 1X PBS with 0.1 mg/ml BSA (US sourced) and 0.05% sodium azide 100 ug 539
Image
V7578-20UG 0.2 mg/ml in 1X PBS with 0.1 mg/ml BSA (US sourced) and 0.05% sodium azide 20 ug 249
Image
V7578SAF-100UG 1 mg/ml in 1X PBS; BSA free, sodium azide free 100 ug 539
Image
V7578IHC-7ML Prediluted in 1X PBS with 0.1 mg/ml BSA (US sourced) and 0.05% sodium azide; *For IHC use only* 7 ml 539
Microvalidated
Bulk quote request
Immunofluorescence staining of human U937 cells with ICOSLG antibody (green, clone ICOSL/3111) and Reddot nuclear stain (red).
Flow cytometry testing of human U937 cells with ICOSLG antibody (clone ICOSL/3111); Red=isotype control, Blue= ICOSLG antibody.
IHC staining of FFPE human prostate carcinoma with ICOSLG antibody (clone ICOSL/3111). HIER: boil tissue sections in pH 9 10mM Tris with 1mM EDTA for 10-20 min and allow to cool before testing.
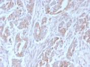
IHC staining of FFPE human colon carcinoma with ICOSLG antibody (clone ICOSL/3111). HIER: boil tissue sections in pH 9 10mM Tris with 1mM EDTA for 10-20 min and allow to cool before testing.
Analysis of HuProt(TM) microarray containing more than 19,000 full-length human proteins using ICOSLG antibody (clone ICOSL/3111). These results demonstrate the foremost specificity of the ICOSL/3111 mAb.
Z- and S- score: The Z-score represents the strength of a signal that an antibody (in combination with a fluorescently-tagged anti-IgG secondary Ab) produces when binding to a particular protein on the HuProt(TM) array. Z-scores are described in units of standard deviations (SD's) above the mean value of all signals generated on that array. If the targets on the HuProt(TM) are arranged in descending order of the Z-score, the S-score is the difference (also in units of SD's) between the Z-scores. The S-score therefore represents the relative target specificity of an Ab to its intended target.
SDS-PAGE analysis of purified, BSA-free ICOSLG antibody (clone ICOSL/3111) as confirmation of integrity and purity.
Availability 1-3 business days
Species Reactivity Human
Format Purified
Clonality Monoclonal (mouse origin)
Isotype Mouse IgG1, kappa
Clone Name ICOSL/3111
Purity Protein G affinity chromatography
UniProt O75144
Localization Cell surface
Applications ELISA (order BSA/sodium Azide-free Format For Coating) :
Flow Cytometry : 1-2ug/10^6 cells
Immunofluorescence : 1-2ug/ml
Immunohistochemistry (FFPE) : 1-2ug/ml for 30 min at RT
Limitations This ICOSLG antibody is available for research use only.
Review this product on BioCompare and get a $20 Amazon gift card

Description

This MAb recognizes a protein of 36kDa, identified as ICOSLG, which is also known as B7-related protein-1 (B7RP-1).T-cell co-stimulatory molecule, inducible co-stimulator (ICOS)/B7-related protein-1 (B7RP-1, B7-H2, GL50, ICOS-L) is a ligand for the ICOS receptor that initiates T and B cell proliferation and cytokine secretion. ICOS-L interactions play an essential role in T cell-dependent B cell activation in peripheral lymphoid organs such as spleen and lymph nodes. ICOS-L protein is present in myeloid leukocytes, and by northern blot there are 2.4, 3.0, and 7.0 kb transcripts in brain, heart, kidney, and liver, with lower expression in colon and thymus, and a 1.1 kb transcript in leukocytes. Tumor necrosis factor alpha (TNFα), granulocyte-macrophage colony-stimulating factor (GM-CSF) and interleukin-4 (IL-4) enhance its expression. LPS-induced up-regulation of ICOS-L is dependent on the MyD88-dependent signaling pathway.

Application Notes

Optimal dilution of the ICOSLG antibody should be determined by the researcher.
1. The prediluted format is supplied in a dropper bottle and is optimized for use in IHC. After epitope retrieval step (if required), drip mAb solution onto the tissue section and incubate at RT for 30 min.

Immunogen

A recombinant fragment of human ICOS Ligand / B7RP-1 protein within amino acids 23-149 was used as the immunogen for the ICOSLG antibody.

Storage

Store the ICOSLG antibody at 2-8oC (with azide) or aliquot and store at -20oC or colder (without azide).

Cross
Bulk Quote Request Form
Name*:
Organization*:
Email*:
Phone Number*:
Catalog No.*:
Comments and Specifics(amount, formulation, etc.)*:
Validation code: Captchapackage Image


Can't read the image? click here to refresh.
    *required field

Your bulk quote request has been submitted successfully!

Please contact us if you have any questions.