• Tel: 858.663.9055
  • SeparatorEmail: info@nsjbio.com
  • Tel: 858.663.9055
  • Email: info@nsjbio.com
Home >> Antibodies >> ICOS Antibody

ICOS Antibody (RQ4163)

  Catalog No Formulation Size Price (USD)  
Image RQ4163 0.5mg/ml if reconstituted with 0.2ml sterile DI water 100 ug 439
Bulk quote request
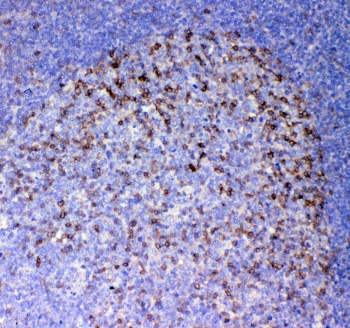
IHC testing of FFPE human tonsil tissue with ICOS antibody at 1ug/ml. Required HIER: steam section in pH6 citrate buffer for 20 min and allow to cool prior to staining.
Flow cytometry testing of human Raji cells with ICOS antibody at 1ug/10^6 cells (cells blocked with goat sera); Red=cells alone, Green=isotype control, Blue=ICOS antibody.
Availability 1-3 business days
Species Reactivity Human
Format Antigen affinity purified
Clonality Polyclonal (rabbit origin)
Isotype Rabbit IgG
Purity Antigen affinity purified
Buffer Lyophilized from 1X PBS with 2% Trehalose and 0.025% sodium azide
UniProt Q9Y6W8
Localization Cytoplasmic, cell membrane
Applications IHC (FFPE) : 1-2ug/ml
Direct ELISA : 0.1-0.5ug/ml
Flow Cytometry : 1-3ug/10^6 cells
Limitations This ICOS antibody is available for research use only.
Review this product on BioCompare and get a $20 Amazon gift card

Related Products

Description

Inducible T-cell costimulator is an immune checkpoint protein that in humans is encoded by the ICOS gene. The protein encoded by this gene belongs to the CD28 and CTLA-4 cell-surface receptor family. It forms homodimers and plays an important role in cell-cell signaling, immune responses, and regulation of cell proliferation.

Application Notes

Optimal dilution of the ICOS antibody should be determined by the researcher.

Immunogen

A recombinant human protein corresponding to amino acids E21-K140 was used as the immunogen for the ICOS antibody.

Storage

After reconstitution, the ICOS antibody can be stored for up to one month at 4oC. For long-term, aliquot and store at -20oC. Avoid repeated freezing and thawing.

Cross
Bulk Quote Request Form
Name*:
Organization*:
Email*:
Phone Number*:
Catalog No.*:
Comments and Specifics(amount, formulation, etc.)*:
Validation code: Captchapackage Image


Can't read the image? click here to refresh.
    *required field

Your bulk quote request has been submitted successfully!

Please contact us if you have any questions.