• Tel: 858.663.9055
  • SeparatorEmail: info@nsjbio.com
  • Tel: 858.663.9055
  • Email: info@nsjbio.com
Home >> Antibodies >> ICOS Antibody

ICOS Antibody (RQ4012)

  Catalog No Formulation Size Price (USD)  
Image RQ4012 0.5mg/ml if reconstituted with 0.2ml sterile DI water 100 ug 439
Bulk quote request
Western blot testing of 1) mouse stomach, 2) mouse spleen, 3) mouse thymus, 4) mouse small intestine, 5) rat thymus and 6) human placental lysate with ICOS antibody at 0.5ug/ml. Predicted molecular weight ~23 kDa.
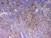
IHC testing of FFPE mouse spleen tissue with ICOS antibody at 1ug/ml. Required HIER: steam section in pH6 citrate buffer for 20 min and allow to cool prior to testing.
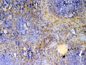
IHC testing of FFPE mouse thymus tissue with ICOS antibody at 1ug/ml. Required HIER: steam section in pH6 citrate buffer for 20 min and allow to cool prior to testing.
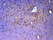
IHC testing of FFPE rat spleen tissue with ICOS antibody at 1ug/ml. Required HIER: steam section in pH6 citrate buffer for 20 min and allow to cool prior to testing.
Availability 1-3 business days
Species Reactivity Human, Mouse, Rat
Format Antigen affinity purified
Clonality Polyclonal (rabbit origin)
Isotype Rabbit IgG
Purity Antigen affinity purified
Buffer Lyophilized from 1X PBS with 2% Trehalose and 0.025% sodium azide
UniProt Q9WVS0
Localization Cytoplasmic, cell membrane
Applications Western Blot : 0.5-1ug/ml
IHC (FFPE) : 1-2ug/ml
Direct ELISA : 0.1-0.5ug/ml
Limitations This ICOS antibody is available for research use only.
Review this product on BioCompare and get a $20 Amazon gift card

Related Products

Description

Inducible T-cell costimulator is an immune checkpoint protein that in humans is encoded by the ICOS gene. The protein encoded by this gene belongs to the CD28 and CTLA-4 cell-surface receptor family. It forms homodimers and plays an important role in cell-cell signaling, immune responses, and regulation of cell proliferation.

Application Notes

Optimal dilution of the ICOS antibody should be determined by the researcher.

Immunogen

A recombinant mouse partial protein corresponding to amino acids E21-S200 was used as the immunogen for the ICOS antibody.

Storage

After reconstitution, the ICOS antibody can be stored for up to one month at 4oC. For long-term, aliquot and store at -20oC. Avoid repeated freezing and thawing.

Cross
Bulk Quote Request Form
Name*:
Organization*:
Email*:
Phone Number*:
Catalog No.*:
Comments and Specifics(amount, formulation, etc.)*:
Validation code: Captchapackage Image


Can't read the image? click here to refresh.
    *required field

Your bulk quote request has been submitted successfully!

Please contact us if you have any questions.