• Tel: 858.663.9055
  • SeparatorEmail: info@nsjbio.com
  • Tel: 858.663.9055
  • Email: info@nsjbio.com
Home >> Antibodies >> IBA1 Antibody / AIF-1

IBA1 Antibody / AIF-1 (R36357)

  Catalog No Formulation Size Price (USD)  
Image R36357-100UG 0.5 mg/ml in 1X TBS, pH7.3, with 0.5% BSA (US sourced) and 0.02% sodium azide 100 ug 449
Bulk quote request
Immunofluorescent staining of FFPE human Caco-2 cells with IBA1 antibody (green) at 10ug/ml and DAPI nuclear stain (blue).
Flow cytometry testing of human K562 cells with IBA1 antibody; Black=isotype control, Blue= IBA1 antibody.
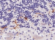
IHC staining of FFPE human cerebellum with IBA1 antibody at 4ug/ml. HIER: steamed with pH9 Tris/EDTA, HRP-staining. Specific staining of astrocytes is seen.
Availability 1-3 business days
Species Reactivity Human
Predicted Reactivity Dog
Format Antigen affinity purified
Clonality Polyclonal (goat origin)
Isotype Goat Ig
Purity Antigen affinity
Gene ID 199
Applications Immunofluorescence : 10ug/ml
Immunohistochemistry (FFPE) : 2-4ug/ml
Flow Cytometry : 10ug/million cells
ELISA (peptide) LOD : 1:16000
Limitations This IBA1 antibody is available for research use only.
Review this product on BioCompare and get a $20 Amazon gift card

Related Products

Description

Additional name(s) for this target protein: Allograft inflammatory factor 1 (AIF1); ionized calcium-binding adapter molecule 1

Application Notes

Optimal dilution of the IBA1 antibody should be determined by the researcher.

1. This IBA1 antibody is specific for isoforms 1 and 3.

Immunogen

Amino acids YEEKAREKEKP were used as the immunogen for this IBA1 antibody.

Storage

Aliquot and store the IBA1 antibody at -20oC.

Cross
Bulk Quote Request Form
Name*:
Organization*:
Email*:
Phone Number*:
Catalog No.*:
Comments and Specifics(amount, formulation, etc.)*:
Validation code: Captchapackage Image


Can't read the image? click here to refresh.
    *required field

Your bulk quote request has been submitted successfully!

Please contact us if you have any questions.