• Tel: 858.663.9055
  • SeparatorEmail: info@nsjbio.com
  • Tel: 858.663.9055
  • Email: info@nsjbio.com
Home >> Antibodies >> Hydroxysteroid 17-beta dehydrogenase 13 Antibody / HSD17B13

Hydroxysteroid 17-beta dehydrogenase 13 Antibody / HSD17B13 [clone HSD17B13/13108] (V5743)

  Catalog No Formulation Size Price (USD)  
Image V5743-100UG 0.2 mg/ml in 1X PBS with 0.1 mg/ml BSA (US sourced), 0.05% sodium azide 100 ug 539
Image
V5743-20UG 0.2 mg/ml in 1X PBS with 0.1 mg/ml BSA (US sourced), 0.05% sodium azide 20 ug 249
Image
V5743SAF-100UG 1 mg/ml in 1X PBS; BSA free, sodium azide free 100 ug 539
Microvalidated
Bulk quote request
Analysis of HuProt(TM) microarray containing more than 19,000 full-length human proteins using Hydroxysteroid 17-beta dehydrogenase 13 antibody (clone HSD17B13/13108). These results demonstrate the foremost specificity of the HSD17B13/13108 mAb. Z- and S- score: The Z-score represents the strength of a signal that an antibody (in combination with a fluorescently-tagged anti-IgG secondary Ab) produces when binding to a particular protein on the HuProt(TM) array. Z-scores are described in units of standard deviations (SD's) above the mean value of all signals generated on that array. If the targets on the HuProt(TM) are arranged in descending order of the Z-score, the S-score is the difference (also in units of SD's) between the Z-scores. The S-score therefore represents the relative target specificity of an Ab to its intended target.
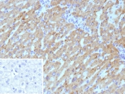
IHC staining of FFPE human hepatocellular carcinoma tissue with Hydroxysteroid 17-beta dehydrogenase 13 antibody (clone HSD17B13/13108). Inset: PBS used in place of primary Ab (secondary Ab negative control). HIER: boil tissue sections in pH 9 10mM Tris with 1mM EDTA for 20 min and allow to cool before testing.
SDS-PAGE analysis of purified, BSA-free Hydroxysteroid 17-beta dehydrogenase 13 antibody (clone HSD17B13/13108) as confirmation of integrity and purity.
Availability 1-3 business days
Species Reactivity Human
Format Purified
Clonality Monoclonal (mouse origin)
Isotype Mouse IgG2b, kappa
Clone Name HSD17B13/13108
Purity Protein G affinity
UniProt Q7Z5P4
Localization Cytoplasm
Applications Immunohistochemistry (FFPE) : 1-2ug/ml
Limitations This Hydroxysteroid 17-beta dehydrogenase 13 antibody is available for research use only.
Review this product on BioCompare and get a $20 Amazon gift card

Related Products

Description

Hydroxysteroid 17-beta dehydrogenase 13 (HSD17B13) is an engyme in the liver that is associated with lipid droplets. It is encoded by the HSD17B13 gene in humans. HSD17B13 levels increase in patients with non-alcoholic fatty liver disease (NAFLD) and can enhance lipogenesis. However, some studies have shown that loss-of-function variants in HSD17B13 may protect against the progression of NAFLD to non-alcoholic steatohepatitis, fibrosis, and hepatocellular carcinoma.

Application Notes

Optimal dilution of the Hydroxysteroid 17-beta dehydrogenase 13 antibody should be determined by the researcher.

Immunogen

A portion of amino acids 1-200 of the human protein was used as the immunogen for the Hydroxysteroid 17-beta dehydrogenase 13 antibody.

Storage

Aliquot the Hydroxysteroid 17-beta dehydrogenase 13 antibody and store frozen at -20oC or colder. Avoid repeated freeze-thaw cycles.

Cross
Bulk Quote Request Form
Name*:
Organization*:
Email*:
Phone Number*:
Catalog No.*:
Comments and Specifics(amount, formulation, etc.)*:
Validation code: Captchapackage Image


Can't read the image? click here to refresh.
    *required field

Your bulk quote request has been submitted successfully!

Please contact us if you have any questions.