• Tel: 858.663.9055
  • SeparatorEmail: info@nsjbio.com
  • Tel: 858.663.9055
  • Email: info@nsjbio.com
Home >> Antibodies >> Hydroxyl-Histone H2A Antibody (Tyr39)

Hydroxyl-Histone H2A Antibody (Tyr39) [clone DED-8] (RQ5086)

  Catalog No Formulation Size Price (USD)  
Image RQ5086 Antibody in PBS with 0.02% sodium azide, 50% glycerol and 0.4-0.5mg/ml BSA 100 ul 439
Microvalidated Rab Mono Image
Bulk quote request
Western blot testing of 1) mouse NIH3T3 and 2) human A549 cell lysate with hydroxyl-Histone H2A antibody (Tyr39). Predicted molecular weight ~14 kDa.
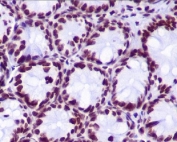
IHC staining of FFPE mouse colon tissue with hydroxyl-Histone H2A antibody (Tyr39). HIER: boil tissue sections in pH6, 10mM citrate buffer, for 10-20 min and allow to cool before testing.
Availability 1-2 weeks
Species Reactivity Human, Mouse
Format Purified
Clonality Rabbit Monoclonal
Isotype Rabbit IgG
Clone Name DED-8
Purity Affinity purified
UniProt P04908
Applications Western Blot : 1:500-1:2000
Immunohistochemistry (FFPE) : 1:500-1:2000
Limitations This hydroxyl-Histone H2A antibody (Tyr39) is available for research use only.
Review this product on BioCompare and get a $20 Amazon gift card

Related Products

Description

Core component of nucleosome. Nucleosomes wrap and compact DNA into chromatin, limiting DNA accessibility to the cellular machineries which require DNA as a template. Histones thereby play a central role in transcription regulation, DNA repair, DNA replication and chromosomal stability. DNA accessibility is regulated via a complex set of post-translational modifications of histones, also called histone code, and nucleosome remodeling. [UniProt]

Application Notes

Optimal dilution of the hydroxyl-Histone H2A antibody (Tyr39) should be determined by the researcher.

Immunogen

A synthetic peptide specific to human Histone H2A (surrounding hydroxylated tyrosine 39) was used as the immunogen for the hydroxyl-Histone H2A antibody.

Storage

Store the hydroxyl-Histone H2A antibody (Tyr39) at -20oC.

Cross
Bulk Quote Request Form
Name*:
Organization*:
Email*:
Phone Number*:
Catalog No.*:
Comments and Specifics(amount, formulation, etc.)*:
Validation code: Captchapackage Image


Can't read the image? click here to refresh.
    *required field

Your bulk quote request has been submitted successfully!

Please contact us if you have any questions.