• Tel: 858.663.9055
  • SeparatorEmail: info@nsjbio.com
  • Tel: 858.663.9055
  • Email: info@nsjbio.com
Home >> Antibodies >> HTRA1 Antibody

HTRA1 Antibody (RQ4205)

  Catalog No Formulation Size Price (USD)  
Image RQ4205 0.5mg/ml if reconstituted with 0.2ml sterile DI water 100 ug 439
Bulk quote request
Western blot testing of 1) human MCF7, 2) rat heart and 3) mouse heart lysate with HTRA1 antibody at 0.5ug/ml. Predicted molecular weight ~51 kDa.
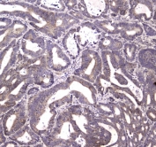
IHC testing of FFPE human rectal cancer tissue with HTRA1 antibody at 1ug/ml. Required HIER: steam section in pH6 citrate buffer for 20 min and allow to cool prior to staining.
Availability 1-3 business days
Species Reactivity Human, Mouse, Rat
Format Antigen affinity purified
Clonality Polyclonal (rabbit origin)
Isotype Rabbit IgG
Purity Antigen affinity purified
Buffer Lyophilized from 1X PBS with 2% Trehalose and 0.025% sodium azide
UniProt Q92743
Localization Cytoplasmic, cell membrane
Applications Western Blot : 0.5-1ug/ml
Immunohistochemistry (FFPE) : 1-2ug/ml
Limitations This HTRA1 antibody is available for research use only.
Review this product on BioCompare and get a $20 Amazon gift card

Related Products

Description

Serine protease HTRA1 is an enzyme that in humans is encoded by the HTRA1 gene. This gene encodes a member of the trypsin family of serine proteases. This protein is a secreted enzyme that is proposed to regulate the availability of insulin-like growth factors (IGFs) by cleaving IGF-binding proteins. It has also been suggested to be a regulator of cell growth. Variations in the promoter region of this gene are the cause of susceptibility to age-related macular degeneration type 7.

Application Notes

Optimal dilution of the HTRA1 antibody should be determined by the researcher.

Immunogen

Amino acids QLRAASRRSERLHRPPVIVLQRGACGQGQEDPNSLRHKYNFIAD were used as the immunogen for the HTRA1 antibody.

Storage

After reconstitution, the HTRA1 antibody can be stored for up to one month at 4oC. For long-term, aliquot and store at -20oC. Avoid repeated freezing and thawing.

Cross
Bulk Quote Request Form
Name*:
Organization*:
Email*:
Phone Number*:
Catalog No.*:
Comments and Specifics(amount, formulation, etc.)*:
Validation code: Captchapackage Image


Can't read the image? click here to refresh.
    *required field

Your bulk quote request has been submitted successfully!

Please contact us if you have any questions.