• Tel: 858.663.9055
  • SeparatorEmail: info@nsjbio.com
  • Tel: 858.663.9055
  • Email: info@nsjbio.com
Home >> Antibodies >> HTATSF1 Antibody / HIV Tat-specific factor 1

HTATSF1 Antibody / HIV Tat-specific factor 1 (FY12277)

  Catalog No Formulation Size Price (USD)  
Image FY12277 Adding 0.2 ml of distilled water will yield a concentration of 500 ug/ml 100 ug 439
Bulk quote request
Immunofluorescent staining of FFPE rat brain tissue with HTATSF1 antibody (red) and DAPI nuclear stain (blue). HIER: steam section in pH8 EDTA buffer for 20 min.
Immunofluorescent staining of FFPE mouse brain tissue with HTATSF1 antibody (red) and DAPI nuclear stain (blue). HIER: steam section in pH8 EDTA buffer for 20 min.
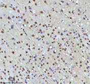
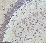
Immunohistochemical staining of HTATSF1 using anti-HTATSF1 antibody. HTATSF1 was detected in a paraffin-embedded section of mouse brain tissue. Heat mediated antigen retrieval was performed in EDTA buffer (pH 8.0, epitope retrieval solution). The tissue section was blocked with 10% goat serum. The tissue section was then incubated with 2 ug/ml rabbit anti-HTATSF1 antibody overnight at 4oC. Peroxidase Conjugated Goat Anti-rabbit IgG was used as secondary antibody and incubated for 30 minutes at 37oC. The tissue section was developed using an HRP secondary and DAB substrate.
Immunohistochemical staining of HTATSF1 using anti-HTATSF1 antibody. HTATSF1 was detected in a paraffin-embedded section of mouse brain tissue. Heat mediated antigen retrieval was performed in EDTA buffer (pH 8.0, epitope retrieval solution). The tissue section was blocked with 10% goat serum. The tissue section was then incubated with 2 ug/ml rabbit anti-HTATSF1 antibody overnight at 4oC. Peroxidase Conjugated Goat Anti-rabbit IgG was used as secondary antibody and incubated for 30 minutes at 37oC. The tissue section was developed using an HRP secondary and DAB substrate.
Immunohistochemical staining of HTATSF1 using anti-HTATSF1 antibody. HTATSF1 was detected in a paraffin-embedded section of mouse brain tissue. Heat mediated antigen retrieval was performed in EDTA buffer (pH 8.0, epitope retrieval solution). The tissue section was blocked with 10% goat serum. The tissue section was then incubated with 2 ug/ml rabbit anti-HTATSF1 antibody overnight at 4oC. Peroxidase Conjugated Goat Anti-rabbit IgG was used as secondary antibody and incubated for 30 minutes at 37oC. The tissue section was developed using an HRP secondary and DAB substrate.
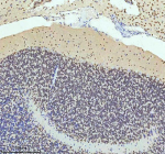
Immunohistochemical staining of HTATSF1 using anti-HTATSF1 antibody. HTATSF1 was detected in a paraffin-embedded section of mouse cerebellum tissue. Heat mediated antigen retrieval was performed in EDTA buffer (pH 8.0, epitope retrieval solution). The tissue section was blocked with 10% goat serum. The tissue section was then incubated with 2 ug/ml rabbit anti-HTATSF1 antibody overnight at 4oC. Peroxidase Conjugated Goat Anti-rabbit IgG was used as secondary antibody and incubated for 30 minutes at 37oC. The tissue section was developed using an HRP secondary and DAB substrate.
Immunohistochemical staining of HTATSF1 using anti-HTATSF1 antibody. HTATSF1 was detected in a paraffin-embedded section of mouse cerebellum tissue. Heat mediated antigen retrieval was performed in EDTA buffer (pH 8.0, epitope retrieval solution). The tissue section was blocked with 10% goat serum. The tissue section was then incubated with 2 ug/ml rabbit anti-HTATSF1 antibody overnight at 4oC. Peroxidase Conjugated Goat Anti-rabbit IgG was used as secondary antibody and incubated for 30 minutes at 37oC. The tissue section was developed using an HRP secondary and DAB substrate.
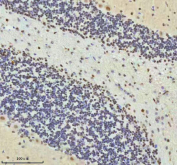
Immunohistochemical staining of HTATSF1 using anti-HTATSF1 antibody. HTATSF1 was detected in a paraffin-embedded section of rat brain tissue. Heat mediated antigen retrieval was performed in EDTA buffer (pH 8.0, epitope retrieval solution). The tissue section was blocked with 10% goat serum. The tissue section was then incubated with 2 ug/ml rabbit anti-HTATSF1 antibody overnight at 4oC. Peroxidase Conjugated Goat Anti-rabbit IgG was used as secondary antibody and incubated for 30 minutes at 37oC. The tissue section was developed using an HRP secondary and DAB substrate.
Immunohistochemical staining of HTATSF1 using anti-HTATSF1 antibody. HTATSF1 was detected in a paraffin-embedded section of rat brain tissue. Heat mediated antigen retrieval was performed in EDTA buffer (pH 8.0, epitope retrieval solution). The tissue section was blocked with 10% goat serum. The tissue section was then incubated with 2 ug/ml rabbit anti-HTATSF1 antibody overnight at 4oC. Peroxidase Conjugated Goat Anti-rabbit IgG was used as secondary antibody and incubated for 30 minutes at 37oC. The tissue section was developed using an HRP secondary and DAB substrate.
Immunohistochemical staining of HTATSF1 using anti-HTATSF1 antibody. HTATSF1 was detected in a paraffin-embedded section of rat brain tissue. Heat mediated antigen retrieval was performed in EDTA buffer (pH 8.0, epitope retrieval solution). The tissue section was blocked with 10% goat serum. The tissue section was then incubated with 2 ug/ml rabbit anti-HTATSF1 antibody overnight at 4oC. Peroxidase Conjugated Goat Anti-rabbit IgG was used as secondary antibody and incubated for 30 minutes at 37oC. The tissue section was developed using an HRP secondary and DAB substrate.
Immunohistochemical staining of HTATSF1 using anti-HTATSF1 antibody. HTATSF1 was detected in a paraffin-embedded section of rat brain tissue. Heat mediated antigen retrieval was performed in EDTA buffer (pH 8.0, epitope retrieval solution). The tissue section was blocked with 10% goat serum. The tissue section was then incubated with 2 ug/ml rabbit anti-HTATSF1 antibody overnight at 4oC. Peroxidase Conjugated Goat Anti-rabbit IgG was used as secondary antibody and incubated for 30 minutes at 37oC. The tissue section was developed using an HRP secondary and DAB substrate.
Immunohistochemical staining of HTATSF1 using anti-HTATSF1 antibody. HTATSF1 was detected in a paraffin-embedded section of rat cerebellum tissue. Heat mediated antigen retrieval was performed in EDTA buffer (pH 8.0, epitope retrieval solution). The tissue section was blocked with 10% goat serum. The tissue section was then incubated with 2 ug/ml rabbit anti-HTATSF1 antibody overnight at 4oC. Peroxidase Conjugated Goat Anti-rabbit IgG was used as secondary antibody and incubated for 30 minutes at 37oC. The tissue section was developed using an HRP secondary and DAB substrate.
Western blot analysis of HTATSF1 using anti-HTATSF1 antibody. Lane 1: human Hela whole cell lysates, Lane 2: human HepG2 whole cell lysates, Lane 3: human Jurkat whole cell lysates, Lane 4: human MCF-7 whole cell lysates, Lane 5: rat brain tissue lysates, Lane 6: rat C6 tissue lysates, Lane 7: mouse brain tissue lysates, Lane 8: mouse NIH/3T3 whole cell lysates. After electrophoresis, proteins were transferred to a nitrocellulose membrane at 150 mA for 50-90 minutes. Blocked the membrane with 5% non-fat milk/TBS for 1.5 hour at RT. The membrane was incubated with rabbit anti-HTATSF1 antibody at 0.5 ug/ml overnight at 4oC, then washed with TBS-0.1%Tween 3 times with 5 minutes each and probed with a goat anti-rabbit IgG-HRP secondary antibody at a dilution of 1:5000 for 1.5 hour at RT. The signal was developed using enhanced chemiluminescent. The predicted band size for HTATSF1 is ~86 kDa but it is commonly observed at 130-140 kDa.
Flow cytometry analysis of fixed and permeabilized human MCF7 cells with HTATSF1 antibody at 1ug/million cells (blocked with goat sera); Red=cells alone, Green=isotype control, Blue= HTATSF1 antibody.
Availability 1-2 days
Species Reactivity Human, Mouse, Rat
Format Lyophilized
Clonality Polyclonal (rabbit origin)
Isotype Rabbit IgG
Purity Immunogen affinity purified
Buffer Each vial contains 4 mg Trehalose, 0.9 mg NaCl, 0.2 mg Na2HPO4.
UniProt O43719
Localization Nuclear
Applications ELISA : 0.1-0.5ug/ml
Flow Cytometry : 1-3ug/million cells
Immunofluorescence : 5ug/ml
Immunohistochemistry : 2-5ug/ml
Western Blot : 0.25-0.5ug/ml
Limitations This HTATSF1 antibody is available for research use only.
Review this product on BioCompare and get a $20 Amazon gift card

Description

HTATSF1 antibody detects HIV Tat-specific factor 1, encoded by the HTATSF1 gene on chromosome 17q21.31. HTATSF1 antibody is commonly used in transcription biology, RNA processing, and viral research. HTATSF1 was originally identified as a cellular factor required for HIV-1 Tat-mediated transcriptional activation. It is now recognized as a general transcription elongation factor that associates with RNA polymerase II and influences RNA splicing, elongation, and processing.

Structurally, HTATSF1 is a nuclear protein containing RS-rich domains typical of splicing regulators, as well as multiple motifs for protein-protein and protein-RNA interactions. These domains allow HTATSF1 to associate with the transcription machinery and with spliceosomal components. Isoforms generated by alternative splicing may modulate transcriptional and splicing activities.

Functionally, HTATSF1 facilitates RNA polymerase II elongation by interacting with transcriptional elongation complexes and splicing factors. It coordinates co-transcriptional splicing, ensuring efficient coupling of RNA synthesis with processing. In the context of HIV infection, HTATSF1 enhances Tat-dependent transcriptional elongation, supporting viral replication. Researchers use HTATSF1 antibody to study transcription elongation, splicing regulation, and viral-host interactions.

Clinically, dysregulation of HTATSF1 has been implicated in cancer, where altered transcription elongation contributes to oncogenic gene expression. Because transcription elongation is critical for rapidly dividing cells, HTATSF1 is considered a potential therapeutic target. HTATSF1 also influences viral replication and could serve as a target for antiviral therapies. NSJ Bioreagents provides HTATSF1 antibody to support research in transcription biology, RNA processing, and infectious disease.

Experimentally, HTATSF1 antibody is used in western blotting to detect the protein, in immunohistochemistry to examine nuclear expression in tissues, and in chromatin immunoprecipitation to analyze transcriptional elongation complexes. Co-immunoprecipitation with HTATSF1 antibody identifies interaction partners in the elongation and splicing machinery.

Application Notes

Optimal dilution of the HTATSF1 antibody should be determined by the researcher.

Immunogen

E.coli-derived human HTATSF1 recombinant protein (Position: H126-D333) was used as the immunogen for the HTATSF1 antibody.

Storage

After reconstitution, the HTATSF1 antibody can be stored for up to one month at 4oC. For long-term, aliquot and store at -20oC. Avoid repeated freezing and thawing.

Cross
Bulk Quote Request Form
Name*:
Organization*:
Email*:
Phone Number*:
Catalog No.*:
Comments and Specifics(amount, formulation, etc.)*:
Validation code: Captchapackage Image


Can't read the image? click here to refresh.
    *required field

Your bulk quote request has been submitted successfully!

Please contact us if you have any questions.