• Tel: 858.663.9055
  • SeparatorEmail: info@nsjbio.com
  • Tel: 858.663.9055
  • Email: info@nsjbio.com
Home >> Antibodies >> HSV1 Antibody / Herpes Simplex Virus Type I

HSV1 Antibody / Herpes Simplex Virus Type I [clone HSVI/2095] (V8331)

  Catalog No Formulation Size Price (USD)  
Image V8331-100UG 0.2 mg/ml in 1X PBS with 0.1 mg/ml BSA (US sourced) and 0.05% sodium azide 100 ug 539
Image
V8331-20UG 0.2 mg/ml in 1X PBS with 0.1 mg/ml BSA (US sourced) and 0.05% sodium azide 20 ug 249
Image
V8331SAF-100UG 1 mg/ml in 1X PBS; BSA free, sodium azide free 100 ug 539
Bulk quote request
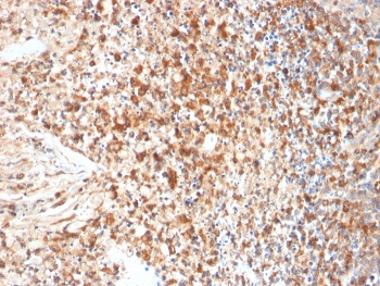
IHC staining of FFPE human cervix with HSV1 antibody (clone HSVI/2095). Required HIER: boil tissue sections in pH 9 10mM Tris with 1mM EDTA for 10-20 min followed by cooling at RT for 20 min.
SDS-PAGE analysis of purified, BSA-free HSV1 antibody (clone HSVI/2095) as confirmation of integrity and purity.
Availability 1-3 business days
Species Reactivity HSV1 (Herpes Simplex Virus 1)
Format Purified
Clonality Monoclonal (mouse origin)
Isotype Mouse IgG1, kappa
Clone Name HSVI/2095
Purity Protein G affinity chromatography
Localization Nuclear, cytoplasmic
Applications Immunohistochemistry (FFPE) : 1-2ug/ml
Limitations This HSV1 antibody is available for research use only.
Review this product on BioCompare and get a $20 Amazon gift card

Related Products

Description

The antibody reacts with HSV type 1 specific antigen. It is suitable for detection of HSV in human cellular material obtained from superficial lesions or biopsies and for the early identification of HSV in infected tissue cultures. The herpes simplex virus (HSV) (also known as cold sore, night fever or fever blister) is a virus that causes a contagious disease. There are two main types of Herpes Simplex Virus (HSV), 1 and 2. The HSV-1 strain generally appears in the orafacial organs. HSV2 usually resides in the sacral ganglion at the base of the spine. All herpes viruses are morphologically identical: they have a large double-stranded DNA genome and the virion consists of an icosahedral nucleo-capsid, which is surrounded by a lipid bilayer envelope. UL42, the processivity subunit of the HSV-1DNA polymerase binds DNA as a monomer and is essential for the replication of the virus. UL42 reduces the rate of dissociation from primer-template DNA, but it does not reduce the rate of elongation. UL42 increases the ability of UL9 to load onto DNA, thus increasing its assembly into a functional complex that is capable of unwinding duplex DNA.

Application Notes

Optimal dilution of the HSV1 antibody should be determined by the researcher.

Immunogen

Baculovirus-expressed HSV DNA polymerase (POL) and POL/UL42 complex was used as the immunogen for this HSV1 antibody.

Storage

Store the HSV1 antibody at 2-8oC (with azide) or aliquot and store at -20oC or colder (without azide).

Cross
Bulk Quote Request Form
Name*:
Organization*:
Email*:
Phone Number*:
Catalog No.*:
Comments and Specifics(amount, formulation, etc.)*:
Validation code: Captchapackage Image


Can't read the image? click here to refresh.
    *required field

Your bulk quote request has been submitted successfully!

Please contact us if you have any questions.