• Tel: 858.663.9055
  • SeparatorEmail: info@nsjbio.com
  • Tel: 858.663.9055
  • Email: info@nsjbio.com
Home >> Antibodies >> HSPA8 Antibody

HSPA8 Antibody (R30914)

  Catalog No Formulation Size Price (USD)  
Image R30914 0.5mg/ml if reconstituted with 0.2ml sterile DI water 100 ug 439
Bulk quote request
Western blot testing of 1) rat liver, 2) rat spleen, 3) rat PC-12, 4) mouse liver and 5) mouse RAW264.7 lysate with HSPA8 antibody. Expected molecular weight: 70-73 kDa.
Western blot testing of human 1) HEK293, 2) A549, 3) Caco-2 and 4) HeLa lysate with HSPA8 antibody. Expected molecular weight: 70-73 kDa.
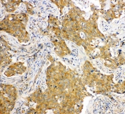
IHC staining of FFPE human lung cancer with HSPA8 antibody. HIER: boil tissue sections in pH6, 10mM citrate buffer, for 20 min and allow to cool before testing.
Availability 1-3 business days
Species Reactivity Human, Mouse, Rat
Format Antigen affinity purified
Clonality Polyclonal (rabbit origin)
Isotype Rabbit IgG
Purity Antigen affinity
Buffer Lyophilized from 1X PBS with 2.5% BSA and 0.025% sodium azide/thimerosal
UniProt P11142
Applications Western Blot : 0.5-1ug/ml
IHC (FFPE) : 0.5-1ug/ml
Limitations This HSPA8 antibody is available for research use only.
Review this product on BioCompare and get a $20 Amazon gift card

Related Products

  • Applications : WB
    Reactivity : Human, Mouse, Rat
    Rab Mono Image
  • Applications : WB, IHC-P, IF, FACS
    Reactivity : Human, Mouse, Rat
  • Applications : WB, IHC-P, IHC-F, ICC, IF, FACS
    Reactivity : Human, Mouse, Rat
  • Applications : WB, IF/ICC, ELISA (peptide)
    Reactivity : Human, Mouse
    Pred. Reactivity : Rat, Dog
  • Applications : WB, IHC-P, IF, IP, FACS
    Reactivity : Human, Mouse, Rat
  • Applications : WB, FACS, IF, IHC-P
    Reactivity : Human, Mouse, Rat
  • Applications : WB, FACS, IHC-P, IF
    Reactivity : Human, Mouse, Rat
  • Applications : WB, IHC-P
    Reactivity : Zebrafish

Description

Heat shock 70kDa protein 8, also known as HSC70, HSC71, and HSP73 is a heat shock protein that in humans is encoded by the HSPA8 gene. The gene contains 9 exons and spans 5 kb. The deduced protein has 646 amino acids and a predicted molecular mass of 70,899 Da. The HSPA8 is mapped on 11q24.1. HSPA8 plays an important role in cells by transiently associating with nascent polypeptides to facilitate correct folding. It also functions as an ATPase in the disassembly of clathrin-coated vesicles during transport of membrane components through the cell. Rapid decay involves AU-rich binding protein AUF1, which complexes with heat-shock proteins HSPA8 and HSP70, translation initiation factor EIF4G, and poly(A)-binding protein. In the absence of IL3, HSPA8 formed a complex with HSP40 and Hip, and this complex, in association with Eif4g and Pabp, formed a high-stability complex with Bim mRNA that protected it from ribonucleases.

Application Notes

The stated application concentrations are suggested starting amounts. Titration of the HSPA8 antibody may be required due to differences in protocols and secondary/substrate sensitivity.

Immunogen

An amino acid sequence from the C-terminus of human Heat shock 70kDa protein 8 (NDEDKQKILDKCNEIINWLD) was used as the immunogen for this HSPA8 antibody.

Storage

After reconstitution, the HSPA8 antibody can be stored for up to one month at 4oC. For long-term, aliquot and store at -20oC. Avoid repeated freezing and thawing.

Cross
Bulk Quote Request Form
Name*:
Organization*:
Email*:
Phone Number*:
Catalog No.*:
Comments and Specifics(amount, formulation, etc.)*:
Validation code: Captchapackage Image


Can't read the image? click here to refresh.
    *required field

Your bulk quote request has been submitted successfully!

Please contact us if you have any questions.